Conteúdo copiado com sucesso!

Íleo Biliar

Voltar
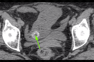
Texto alternativo para a imagem Figura 1. Créditos: Dra. Elazir Mota - Rio de Janeiro/RJ
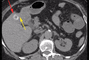
Texto alternativo para a imagem Figura 2. Créditos: Dra. Elazir Mota - Rio de Janeiro/RJ

Descrição das imagens: Tomografia computadorizada de abdome sem contraste. Vesícula biliar apresentando cálculo no seu interior (seta vermelha). Observe que não há um plano de clivagem nítido entre a vesícula biliar e o bordo duodenal (seta amarela), inclusive com uma duvidosa solução de continuidade entre eles. Na porção mais inferior do abdome, vemos distensão líquida gasosa, com caracterização de um ponto de transição de calibre no íleo distal por cálculo biliar (seta verde), confirmando a presença de íleo biliar.

Íleo biliar: C ausa rara de obstrução mecânica do intestino delgado e rara complicação de colecistite crônica. Este quadro ocorre quando há passagem do cálculo da vesícula biliar para o intestino delgado, por meio de fístula (fístula bilioentérica).

Quadro clínico: P resença de dor abdominal tipo cólica, distensão abdominal e vômitos. Mais frequentemente o cálculo fica impactado no íleo terminal, no entanto, pode ocorrer em outros locais do tubo digestivo, como: íleo proximal, jejuno, cólon e duodeno/estômago (nesta última localização, sua obstrução chama-se síndrome de Bouveret).

    Exames de imagem:
  • Radiografia de abdome: Classicamente observa-se obstrução do intestino delgado, aerobilia e o cálculo;
  • Tomografia computadorizada do abdome: T rata-se d o exame de escolha diante desta suspeita por permitir boa caracterização do cálculo no interior da alça intestinal. Apresenta uma acurácia, sensibilidade e especificidade elevadas. A tríade de Rigler inclui três achados de imagem: aerobilia, obstrução do intestino delgado e cálculo de via biliar ectópico (figura 2);
  • Outros: Exames como, ressonância magnética e ultrassonografia de abdome mais dificilmente vão detectar com tanta precisão o cálculo na alça intestinal. Por isso, o exame de escolha, nesses casos, deve ser a tomografia computadorizada.

Diagnósticos diferenciais : Pneumobilia, calcificação pélvica e obstrução do intestino delgado (por outras causas).

Autoria principal: Elazir Mota (Radiologia, especialista em Radiologia Pediátrica).

Chuah PS, Curtis J, Misra N, et al. Pictorial review: The pearls and pitfalls of the radiological manifestations of gallstone ileus. Abdom Radiol (NY). 2017; 42(4):1169-1175.

Lassandro F, Romano S, Ragozzino A, et al. Role of helical CT in diagnosis of gallstone ileus and related conditions. AJR Am J Roentgenol. 2005; 185(5):1159-65.

Soesbe TC, Lewis MA, Xi Y, et al. A Technique to Identify Isoattenuating Gallstones with Dual-Layer Spectral CT: An ex Vivo Phantom Study. Radiology. 2019; 292(2):400-406.

Singh AK, Shirkhoda A, Lal N et-al. Bouveret's syndrome: appearance on CT and upper gastrointestinal radiography before and after stone obturation. AJR Am J Roentgenol. 2003; 181 (3): 828-30.

Reisner RM, Cohen JR. Gallstone ileus: a review of 1001 reported cases. Am Surg. 1994; 60 (6): 441-6