Conteúdo copiado com sucesso!

AVE Isquêmico

Voltar
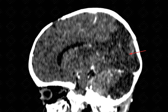
Texto alternativo para a imagem Figura 1. Créditos: Dra. Elazir Mota - Rio de Janeiro/RJ
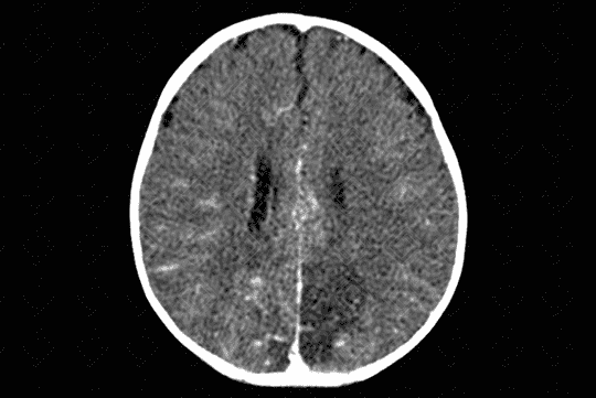
Texto alternativo para a imagem Figura 2. Créditos: Dra. Elazir Mota - Rio de Janeiro/RJ
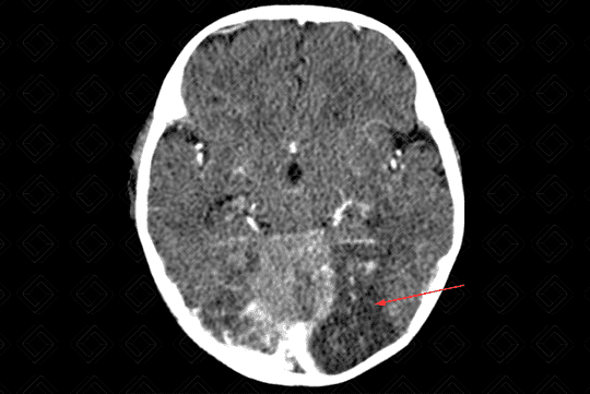
Texto alternativo para a imagem Figura 3. Créditos: Dra. Elazir Mota - Rio de Janeiro/RJ

Descrição da lesão: Acidente vascular encefálico isquêmico (AVE).

Descrição das figuras 1, 2 e 3: Tomografia computadorizada do crânio após a administração do contraste evidenciando extensa hipodensidade nas regiões parietal e occipital esquerdas com extensão ao tálamo deste lado (visualizado na reconstrução sagital), sem causar efeito compressivo, compatível com evento isquêmico subagudo (setas vermelhas).

Tomografia computadorizada de crânio: Tem duplo papel no manuseio do AVE agudo: diagnosticar ou excluir hemorragia intracerebral e identificar a presença de lesão estrutural subjacente (como tumor, lesão vascular ou hematoma subdural), que pode simular um acidente vascular.

    Cerca de 60% das tomografias de crânio realizadas nas primeiras horas após o AVE são normais. Alguns achados precoces do AVE isquêmico podem ser observados nas primeiras 4-6 horas e incluem:
  • Artéria cerebral média hiperdensa;
  • Não distinção da junção branco-acinzentada ao longo da face lateral da ínsula (sinal da fita na ínsula);
  • Não distinção da substância branca/cinzenta ao longo do córtex;
  • Obscurecimento do núcleo lentiforme.

Por volta de 24 a 72 horas, de fato, surge a hipodensidade do território vascular acometido (figuras 1, 2 e 3).

    Podemos quantificar a extensão do AVE isquêmico pelos seus aspectos de imagem, através do ASPECTS (varia de 0 a 10 pontos e a cada área acometida, o paciente perde um ponto. O normal seria um ASPECTS = 10). São usados dois cortes na tomografia, ao nível dos núcleos da base e coroa radiada. Os dez locais analisados são (figura 4):
  • CI = cápsula interna; [cms-watermark]
  • I = ínsula;
  • NC = núcleo caudado;
  • NL = núcleo lentiforme;
  • M1 até M6.
Texto alternativo para a imagem Figura 4. Adaptada de: Barber PA, MDCalc [Internet]

Autoria principal: Elazir Mota (Radiologia, especialista em Radiologia Pediátrica).

Srinivasan A, et al. State-of-the-Art Imaging of Acute Stroke. RadioGraphics. 2006; 26:S75-S95.

Tomura N, et al. Early CT finding in cerebral infarction: obscuration of the lentiform nucleus. Radiology. 1988; 168:463-467.

von Kummer R, et al. Acute stroke: usefulness of early CT findings before thrombolytic therapy. Radiology. 1997; 205:327-333.

Feigin VL, et al. World Stroke Organization (WSO): Global Stroke Fact Sheet 2022. International journal of stroke. 2022; 17(1):18-29.

Pexman JH, Barber PA, Hill MD, et al. Use of the Alberta Stroke Program Early CT Score (ASPECTS) for assessing CT scans in patients with acute stroke. AJNR Am J Neuroradiol. 2001; 22(8):1534-42.

Barber PA. Alberta Stroke Program Early CT Score (ASPECTS). In MDCalc - Medical calculators, equations, scores, and guidelines [Internet]. (Acessed on September 17, 2021).