Conteúdo copiado com sucesso!

Abordagem do Derrame Pleural na Criança

Voltar
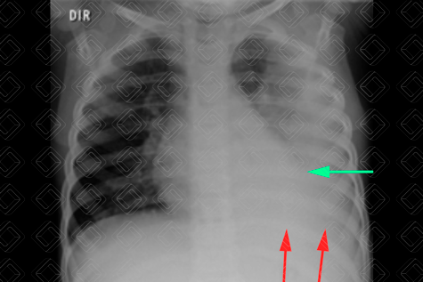
Texto alternativo para a imagem Figura 1. Créditos: Dra. Elazir Mota - Rio de Janeiro/RJ
Texto alternativo para a imagem Figura 2. Créditos: Dra. Elazir Mota - Rio de Janeiro/RJ

Descrição das figuras 1 e 2: Na radiografia de tórax AP observa-se uma opacidade que apaga o contorno cardíaco à esquerda (seta verde) e o diafragma esquerdo (setas vermelhas). No estudo em perfil, evidencia-se somente um diafragma (setas amarelas). Fica a dúvida se há somente pneumonia ou pneumonia associada a derrame. O próximo passo na população pediátrica é fazer uma ultrassonografia de tórax.

Texto alternativo para a imagem Figura 3. Créditos: Dra. Elazir Mota - Rio de Janeiro/RJ
Texto alternativo para a imagem Figura 4. Créditos: Dra. Elazir Mota - Rio de Janeiro/RJ

Descrição das figuras 3 e 4: Ultrassonografia do hemitórax esquerdo evidenciando a consolidação homogênea com broncograma aéreo de permeio (asteriscos) e o derrame pleural (setas vermelhas). No caso do paciente em questão, trata-se de um derrame na fase fibrinopurulenta, pois observam-se alguns septos móveis no interior do derrame.

Abordagem do derrame pleural na criança: E xistem algumas causas de derrame pleural na população pediátrica, sendo a mais comum aquela relacionada à pneumonia, também chamada de derrame parapneumônico. O derrame parapneumônico pode ser dividido em complicado e não complicado.

Quadro clínico: F ebre persistente, tosse, anorexia, queda do estado geral, dispneia e dor torácica.

    Fases do derrame pleural: Evolução do derrame pleural parapneumônico exibe três fases bem distintas. Se ele for inadequadamente tratado, pode progredir através de todas as fa ses:
  • Fase aguda ou exsudativa (48 horas): É caracterizada pela rápida efusão de fluido estéril para o espaço pleural. A origem deste líquido ainda não é bem estabelecida, mas ele provavelmente origina-se do espaço intersticial do pulmão. Neste estágio, caso necessário, ele pode ser facilmente drenado, e o pulmão reexpande rapidamente;
  • Fase fibrinopurulenta (evolução de 2 a 10 dias): Caso a antibioticoterapia não seja adequada ou ineficaz, as bactérias que originaram a própria pneumonia tendem a invadir o líquido pleural e começam a acumular restos de células, leucócitos e bactérias. Inicia-se assim produção de fibrina, que acarreta no surgimento de septos, grumos e debris no interior do derrame pleural e na loculação. A loculação previne a disseminação do processo. Nesta fase, a abordagem cirúrgica se faz necessária para desfazer os septos e as lojas, permitindo a reexpansão adequada do pulmão;
  • Fase organizada (2 a 4 semanas): Nesta fase, o líquido pleural encontra-se totalmente organizado, sem mobilidade e prejudicando a expansão pulmonar. Caso o paciente não seja adequadamente abordado, ocorre a drenagem espontânea do derrame para o pulmão e o surgimento de uma fístula broncopleural como complicação.
    Exames de imagem:
  • Radiografia de tórax AP ou PA + perfil: Exame de escolha na população pediátrica, mas, diante da suspeita de derrame pleural, idealmente deve ser complementado com a ultrassonografia do tórax (lembrando que a avaliação de derrame pleural com a incidência radiográfica em Laurell - decúbito lateral com raios horizontais - está em desuso);
  • Ultrassonografia de tórax: Permite a graduação do derrame em leve, moderado ou acentuado e, além disso, auxilia na caracterização do derrame em exsudato, fase fibrinopurulenta ou organizada, ajudando na tomada de decisão pela equipe pediátrica e cirurgia pediátrica. Deste modo, é uma ferramenta auxiliar à radiografia do tórax na população pediátrica;
  • Tomografia de tórax: Reservada para pouquíssimos casos, quando não há melhora após abordagem ou diante de complicações mais graves, como fístula broncopleural, necrose do parênquima pulmonar e outras (na criança será sempre realizada com contraste venoso).

Diagnósticos diferenciais: O principal diagnóstico diferencial por imagem é com abscesso pulmonar.

Autoria principal: Elazir Mota (Radiologia, especialista em Radiologia Pediátrica).

Fraga JC, Kim P. Surgical treatment of parapneumonic pleural effusion and its complications. J Pediatr (Rio J). 2002; 78(Supl.2):s161-s70.

Gibbs JM, Chandrasekhar CA, Ferguson EC, et al. Lines and stripes: where did they go?--From conventional radiography to CT. Radiographics. 2007; 27(1):33-48.

Hansell DM, Bankier AA, MacMahon H, et al. Fleischner Society: glossary of terms for thoracic imaging. Radiology. 2008; 246(3):697-722.

Moreira JS, Camargo JJ, Felicetti JC, et al. Lung abscess: analysis of 252 consecutive cases diagnosed between 1968 and 2004. J Bras Pneumol. 2006; 32(2):136-43.

Jaffe A, Balfour-Lynn IM. Management of empyema in children. Pediatr Pulmonol. 2005; 40(2):148-56.