Conteúdo copiado com sucesso!

Abscesso Periamigdaliano

Voltar
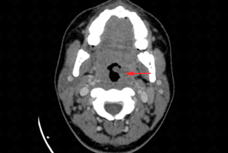
Texto alternativo para a imagem Figura 1. Créditos: Dra. Elazir Mota/ Rio de Janeiro - RJ
Texto alternativo para a imagem Figura 2. Créditos: Dra. Elazir Mota/ Rio de Janeiro - RJ

Descrição das figuras 1 e 2: Tomografia computadorizada de pescoço após a injeção do meio de contraste. Imagens axial e sagital evidenciando aumento de volume da região peritonsilar à esquerda, com impregnação heterogênea, caracterizando pequena coleção deste lado (setas vermelhas), medindo cerca de 2,0 x 1,5 cm, reduzindo discretamente a coluna aérea faríngea.

Abscesso periamigdaliano (ou peritonsilar): Amigdalite e abcesso peritonsilar são as infecções cervicais profundas mais comumente encontradas entre adolescentes e adultos jovens. O abcesso peritonsilar corresponde a um terço de todos os abcessos de cabeça e pescoço. Abcessos periamigdalianos ocorrem quando o abcesso transfixa a cápsula amigdaliana e ocupa o espaço periamigdaliano, localizado entre a cápsula e a musculatura constritora.

Quadro clínico: I nclui febre, linfonodomegalia e disfagia. Otalgia e trismo são sintomas observados em casos com evolução desfavorável.

    Exames de imagem:
  • Tomografia computadorizada do pescoço: Exame de escolha. Sempre deve ser realizada após a administração do contraste venoso, que vai revelar uma imagem hipodensa, ovalada, de paredes finas ou espessadas, com realce periférico pelo meio de contraste. Lembrando que diante de um quadro de faringoamigdalite, os exames de imagem não são solicitados rotineiramente. A principal indicação recai sobre a avaliação da extensão do abcesso ou quando a resposta ao tratamento com antibióticos não foi adequada e a drenagem cirúrgica deve ser considerada. Outra indicação é a presença de trismo durante o exame físico, onde habitualmente se faz necessária a avaliação por imagem. O exame de escolha será a tomografia computadorizada do pescoço com contraste venoso;
  • Ressonância magnética do pescoço: Revela lesão com conteúdo líquido, com hipersinal em T2 e hipossinal em T1, sem impregnação de conteúdo após a injeção intravenosa. Melhor sequência para sua avaliação é o T1 pós-contraste intravenoso, com saturação do sinal de gordura.

Diagnósticos diferenciais: Faringite, tonsilite, abscesso tonsilar e abscesso retrofaríngeo.

Autoria principal: Elazir Mota (Radiologia, especialista em Radiologia Pediátrica).

Steyer TE. Peritonsillar abscess: diagnosis and treatment. Am Fam Physician. 2002; 65 (1):93-6.

Capps EF, Kinsella JJ, Gupta M, et al. Emergency imaging assessment of acute, nontraumatic conditions of the head and neck. Radiographics. 2010; 30(5):1335-52.

Ma OJ, Mateer JR, Reardon RF, et al. Ma and Mateer's Emergency Ultrasound. 3rd ed. New York: McGraw Hill, 2013.

Schraff S, McGinn JD, Derkay CS. Peritonsillar abscess in children: a 10-year review of diagnosis and management. Int J Pediatr Otorhinolaryngol 2001; 57(3):213–218.

Harnsberger HR, Wiggins RH, Hudgins PA, et al. Diagnostic imaging: head and neck. Salt Lake City: Amirsys, 2004.

Johnson RF, Stewart MG, Wright CC. An evidencebased review of the treatment of peritonsillar abscess. Otolaryngol Head Neck Surg. 2003; 128(3): 332–343.