Conteúdo copiado com sucesso!

Abscesso Retrofaríngeo

Voltar
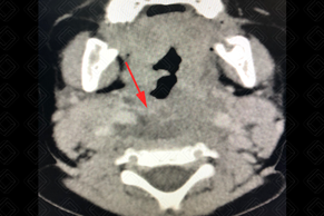
Texto alternativo para a imagem Figura 1. Créditos: Dra. Elazir Mota - Rio de Janeiro/RJ
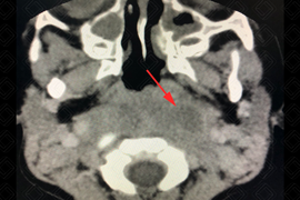
Texto alternativo para a imagem Figura 2. Créditos: Dra. Elazir Mota - Rio de Janeiro/RJ

Descrição das figuras 1 e 2: Evidenciando área hipodensa, sem realce pelo meio de contraste, mal definida, no espaço retrofaríngeo (setas vermelhas).

Abscesso retrofaríngeo: Mais frequentemente encontrado na população pediátrica, com cerca de 75% dos casos ocorrendo antes dos 5 anos de vida. Isso ocorre por uma combinação de linfonodos em maior número no espaço retrofaríngeo nesta faixa etária e os quadros de otite/infecção de vias aéreas superiores de repetição.

Os principais agentes etiológicos são Streptococcus do grupo A, S. aureus , H. influenzae , germes anaeróbios e na população imunodeprimida, M. tuberculosis .

Quadro clínico: Bastante variável. Inicialmente pode haver febre, queda do estado geral e perda do apetite. Com sua evolução e nos casos mais graves, o paciente pode apresentar aumento de volume na região cervical, posição viciosa da cabeça, com limitação do movimento e, até mesmo, estridor.

    Exames de imagem:
  • Radiografia cervical: A vantagem deste exame é quando a criança está muito sintomática, podendo ser feito com o paciente sentado. Observa-se aumento das partes moles no espaço retrofaríngeo, rechaçando a faringe anteriormente;
  • Tomografia computadorizada do pescoço: Deve ser realizada, idealmente, com o uso do contraste venoso para identificar melhor a presença de coleções (figuras acima);
  • Ressonância magnética do pescoço: T1 sinal baixo a intermediário na sua porção mais central e alto sinal em T2 na sua porção central. Realce periférico pelo meio de contraste e restrição à difusão.

Diagnósticos diferenciais: E dema, hematoma e celulite retrofaríngea, massa envolvendo espaço retrofaríngeo (hemangioma na população pediátrica, por exemplo).

Autoria principal: Elazir Mota (Radiologia, especialista em Radiologia Pediátrica).

Malia L, Sivitz A, Chicaiza H. A novel approach: Point-of-care ultrasound for the diagnosis of retropharyngeal abscess. Am J Emerg Med. 2021; 46:271-275.

Lu Md, Vasavada Z, Tanner C. Lemierre syndrome folowing oropharyngeal infection: a case series. J Am Board Farm Med. 2009; 22(1):79-83.

Craig FW, Schunk JE. Retropharyngeal abscess in children: clinical presentation, utility of imaging, and current management. Pediatrics. 2003; 111(6 Pt 1):1394-8.

Ide C, Bodart E, Remacle M, et al. An early MR observation of carotid involvement by retropharyngeal abscess. AJNR Am J Neuroradiol. 1998; 19(3):499-501.