Conteúdo copiado com sucesso!

Adenocarcinoma Gástrico

Voltar
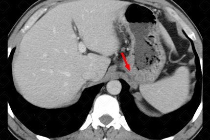
Texto alternativo para a imagem Créditos: Athena Hub/Medical Harbour
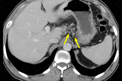
Texto alternativo para a imagem Créditos: Athena Hub/Medical Harbour

Descrição das figuras: Tomografia computadorizada do abdome pós-contraste, fase portal. Estadiamento de adenocarcinoma gástrico. Na seta vermelha, torna-se evidente o espessamento parietal da mucosa gástrica. As setas amarelas indicam linfonodomegalias em número aumentado na região perigástrica suspeitas.

Neoplasia gástrica: O adenocarcinoma gástrico é o subtipo mais comum (representa cerca de 95% dos casos). [cms-watermark]

Fatores de risco: Anemia perniciosa, pólipo gástrico, gastrite atrófica, gastrectomia parcial Billroth II, grupo sanguíneo tipo A, tabagismo.

    Exames de imagem:
  • Fluoroscopia (exame contrastado): Trata-se de exame cada vez menos usado pela pouca informação obtida e grande quantidade de radiação ionizante a qual o paciente é exposto;
  • Ultrassonografia de abdome: Exame que não deve ser solicitado. Somente em lesões muito avançadas pode-se observar uma massa na topografia epigástrica;
  • Tomografia computadorizada do abdome: Exame extremamente útil para estadiamento da doença, com avaliação da invasão local do tumor e, também, de metástases a distância. Permanece como exame de escolha para estadiamento pré-tratamento e para follow-up da lesão (figuras acima);
  • PET-CT com uso de FDG: Vem sendo cada vez mais utilizado como aliado da tomografia computadorizada para pesquisa de disseminação linfonodal e a distância, bem como no acompanhamento de resposta ao tratamento.

Estadiamento: T1 - tumor invade lâmina própria ou submucosa; T2 - tumor invade muscular própria ou subserosa; T3 - tumor penetra a serosa, sem invadir estruturas adjacentes; T4 - há invasão de estruturas adjacentes.

Autor(a) principal: Elazir Mota (Radiologia, especialista em Radiologia Pediátrica).

Roukos DH. Current status and future perspectives in gastric cancer management. Cancer Treat Rev. 2000; 26:243-255.

Rohren EM, Turkington TG, Coleman RE. Clinical applications of PET in oncology. Radiology. 2004; 231:305-332.

Yoshioka T, Yamaguchi K, Kubota K, et al. Evaluation of 18F-FDG PET in patients with advanced, metastatic, or recurrent gastric cancer. J Nucl Med. 2003; 44:690-699.

Lim JS, Yun MJ, Kim MJ, et al. CT and PET in Stomach Cancer: Preoperative Staging and Monitoring of Response to Therapy. [cms-watermark] RadioGraphics. 2006; 26:1, 143-156.