Conteúdo copiado com sucesso!

Aerobilia

Voltar
Texto alternativo para a imagem
Texto alternativo para a imagem
Texto alternativo para a imagem
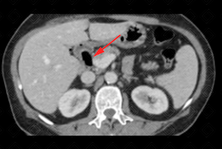
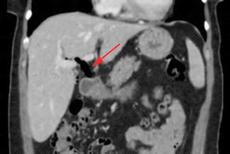
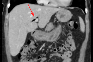
Texto alternativo para a imagem Figuras 1, 2, 3 e 4. Créditos: Dra. Elazir Mota - Rio de Janeiro/RJ.

Descrição das figuras 1, 2, 3 e 4: Tomografia computadorizada do abdome. Estudo pós-contraste (fase portal), cortes axiais e coronais evidenciando a presença de gás (setas vermelhas) no interior do colédoco e via biliar intra-hepática esquerda. Após colher nova história com a paciente, havia relato de procedimento recente (colangiopancreatografia retrógrada endoscópica [CPRE]).

Aerobilia: Também chamada de pneumobilia. Trata-se da presença de gás no interior da árvore biliar. As principais etiologias são abordagem recente das vias biliares (CPRE, colangiografia intra-operatória), incompetência do esfíncter de Oddi (congênita, uso de atropina, esfincterotomia e pancreatite crônica), fístula bilioentérica, processos infecciosos (colangite, colecistite enfisematosa, abscesso hepático e ruptura de cisto hidático).

Quadro clínico: N a maioria das vezes, o paciente pode ser assintomático ou apresentar dor abdominal inespecífica, muitas vezes difusa.

    Exames de imagem:
  • Radiografia de abdome: Quando realizada em ortostase, podemos ver uma imagem hipertransparente preenchendo os ductos biliares;
  • Ultrassonografia do abdome: S urgem como imagens hiperrefringentes no interior dos ductos biliares, gerando artefatos de imagem. Nas mãos mais experientes são facilmente identificados;
  • Tomografia computadorizada do abdome: P resença de gás é observada dentro dos ductos biliares intra e/ou extra-hepáticos.

Diagnósticos diferenciais : Principal diagnóstico diferencial é com aeroportograma (acúmulo de gás na veia porta e seus ramos). A aerobilia costuma ter uma localização mais central, enquanto o aeroportograma tem distribuição mais comumente periférica.

Autoria principal: Elazir Mota (Radiologia, especialista em Radiologia Pediátrica).

Dähnert W. Radiology review manual. Philadelphia: Lippincott Williams & Wilkins, 2003.

Hawes DR, Pelsang RE, Janda RC, et al. Imaging of the biliary sump syndrome. AJR Am J Roentgenol. 1992; 158(2):315-9.

Sherman SC, Tran H. Pneumobilia: benign or life-threatening. J Emerg Med. 2006; 30(2):147-53.

Pai S & Bude R. Sonographic Appearance of Extensive Hepatic Arterial Calcification Mimicking Pneumobilia. J Clin Ultrasound. 2002; 30(1):38-41.