Conteúdo copiado com sucesso!

Aneurisma

Voltar
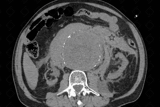
Texto alternativo para a imagem Figura 1. Créditos: Dra. Elazir Mota - Rio de Janeiro/RJ
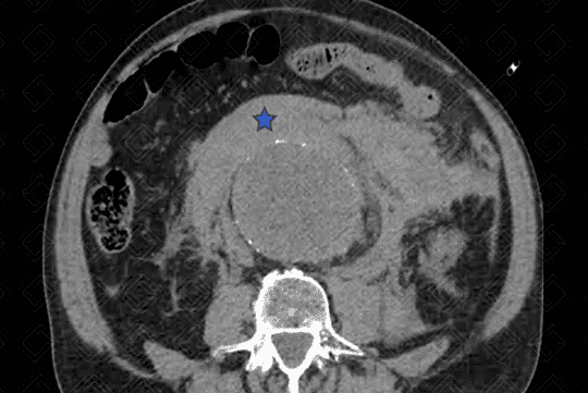
Texto alternativo para a imagem Figura 2. Créditos: Dra. Elazir Mota - Rio de Janeiro/RJ
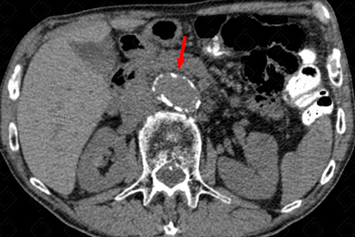
Texto alternativo para a imagem Figura 3. Créditos: Dra. Elazir Mota - Rio de Janeiro/RJ

Descrição das figuras 1, 2 e 3: Sinais de ruptura de aneurisma da aorta abdominal com extenso hemoperitônio. Hematoma hiperdenso mais bem apreciado nas fases sem contraste (asteriscos - figuras 1 e 2), que se estende ao espaço pararrenal e perirrenal esquerdo. Após a administração do contraste, observa-se extravasamento ativo do mesmo (seta vermelha - figura 3). [cms-watermark]

Texto alternativo para a imagem Figura 4. Créditos: Athena Hub/Medical Harbour

Descrição da figura 4: Tomografia computadorizada do abdome sem contraste (idealmente para avaliação vascular, estudo deve ser realizado com contraste) evidenciando dilatação aneurismática da aorta no seu segmento infrarrenal, medindo cerca de 3,3 cm (seta vermelha).

Descrição da lesão: Aneurisma de aorta. [cms-watermark]

Definição: Aneurisma é definido como dilatação localizada permanente da aorta 1,5 vez superior ao diâmetro normal. Atenção! Lembrar que as dimensões normais da aorta variam conforme idade, sexo e superfície corporal.

Classificações: A maioria dos aneurismas possui configuração fusiforme (cerca de 80%), sendo os demais saculares. São classificados ainda quanto à sua localização: aneurismas torácicos (ascendente, arco e descendente), toracoabdominais ou abdominais.

Exame diagnóstico: O diagnóstico do aneurisma de aorta é realizado pela angiotomografia de aorta e evidencia basicamente aumento do diâmetro vascular.

Complicações: Como complicações do aneurisma, as principais são ruptura (figura 1) e fístula do aneurisma para órgãos vizinhos (rara).

Autor(a) principal: Elazir Mota (Radiologia, especialista em Radiologia Pediátrica).

WB Mehard, JP Heiken and GA Sicard. High-attenuating crescent in abdominal aortic aneurysm wall at CT: a sign of acute or impending rupture. Mallinckrodt Institute of Radiology, Washington University School of Medicine, St Louis. Radiology. 1994; 192:359-362.

CL Siegel, RH Cohan, M Korobkin, MB Alpern, DL Courneya and RA Leder. Abdominal aortic aneurysm morphology: CT features in patients with ruptured and nonruptured aneurysms. Department of Radiology, University of Michigan Medical Center, Ann Arbor AJR. 1994; 163:1123-1129.

KE Halliday, A al-Kutoubi. Draped aorta: CT sign of contained leak of aortic aneurysms. Department of Radiology, St Mary's Hospital, London, England. Radiology. 1996; 199:41-43.