Conteúdo copiado com sucesso!

Angiomiolipoma

Voltar
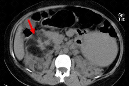
Texto alternativo para a imagem Créditos: Dra. Elazir Mota - Rio de Janeiro/RJ

Descrição da figura: Lesão expansiva, heterogênea, com predomínio de conteúdo gorduroso, no pólo superior do rim direito, medindo 8,3 x 7,6 cm, compatível com angiomiolipoma (seta vermelha).

Angiomiolipoma: Trata-se do principal tumor renal sólido, de caráter benigno e, na sua maioria, contém gordura facilmente visualizada nas imagens de tomografia ou ressonância, dispensando a necessidade de biópsia para confirmar a natureza da lesão.

No entanto, em aproximadamente 5% dos casos, o angiomiolipoma apresenta pouca gordura, dificultando seu diagnóstico nos exames de imagem e impossibilitando o diagnóstico diferencial com carcinoma de células renais. Nesses casos, a biópsia percutânea deve ser realizada.

Quadro clínico: E m geral, trata-se de achado incidental durante a realização dos exames de imagem. Pode tornar-se sintomático no caso de sangramento volumoso, com hemorragia retroperitoneal (síndrome de Wenderlich).

    Achados de imagem:
  • Tomografia computadorizada do abdome: Lesão renal, bem definida, heterogênea, predominantemente hipodensa, com densidade de gordura, em geral inferior a -10 UH (f igura acima);
  • Ressonância magnética abdome: A lesão apresenta hipersinal na sequência ponderada em T1, pelo conteúdo gorduroso. Sequencias adicionais como in e out phase auxiliam na adequada avaliação da presença ou não de conteúdo gorduroso, em lesões com hipersinal em T1 (lembrando que lesões com conteúdo gorduroso, sangue ou proteico podem elevar o sinal em T1);
  • Ultrassonografia de abdome: Não é o método de escolha, principalmente quando se realiza a avaliação de lesões pequenas. Nas lesões maiores, a caracterização torna-se mais fácil e fidedigna, sendo heterogênea e predominantemente hiperecoica.

Diagnósticos diferenciais: Carcinoma de células renais, lipossarcoma, oncocitoma, tumor de Wilms e mielolipoma de adrenal.

Autoria principal: Elazir Mota (Radiologia, especialista em Radiologia Pediátrica).

Park BK. Renal Angiomyolipoma: Radiologic Classification and Imaging Features According to the Amount of Fat. AJR Am J Roentgenol. 2017; 209(4):826-835.

Jeong CJ, Park BK, Park JJ, et al. Unenhanced CT and MRI parameters that can be used to reliably predict fat-invisible angiomyolipoma. AJR. 2016; 206:340–347.

Li HM, Yeh LR, Lu K. Renal angiomyolipoma with coexistent hemorrhagic aneurysm formation and fatty thrombus in inferior vena cava: a rare presentation. Abdom Imaging. 2013; 38:180–183.

Moratalla M. Wunderlich's Syndrome Due to Spontaneous Rupture of Large Bilateral Angiomyolipomas. Emerg Med J. 2009; 26(1):72

Paltiel H. Sonography of Pediatric Renal Tumors. Ultrasound Clinics. 2007; 2(1):89-104.