Conteúdo copiado com sucesso!

Apendagite Epiploica

Voltar
Texto alternativo para a imagem
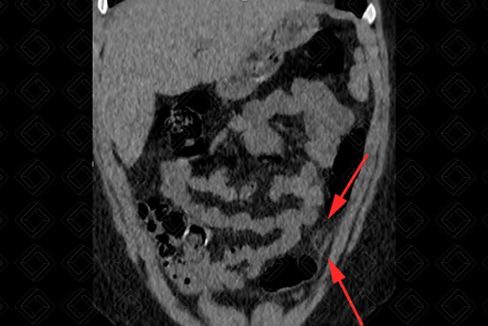
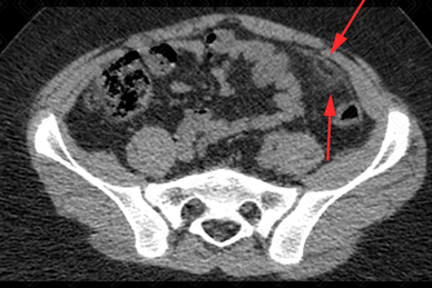
Texto alternativo para a imagem Figuras 1 e 2. Créditos: Dra. Elazir Mota - Rio de Janeiro/RJ

Descrição das figuras 1 e 2: Tomografia computadorizada do abdome superior e pelve. Observa-se uma imagem ovalada, hipodensa, com conteúdo interno gorduroso, na borda anti- mesentérica do cólon, sendo mais comum à esquerda (setas vermelhas). Em geral, associam-se à densificação dos planos adiposos no mesentério.

Apendagite epiploica: T rata-se de uma causa autolimitada de dor abdominal que necessita ser conhecida e reconhecida pela sua relativa frequência nos atendimentos de urgência/emergência. Ela ocorre devido ao processo inflamatório/isquêmico envolvendo o apêndice epiploico do cólon.

Apêndices epiploicos são pequenas saculações peritoneais contendo gordura que protruem a partir da superfície serosa do cólon. A causa exata da apendagite ainda não é bem entendida, mas acredita-se que ela ocorra pela torção deste apêndices epiploicos, acarretando em posterior isquemia e, por vezes, inflamação. A principal localização dos apêndices epiploicos é na borda anti-mesentérica do cólon descendente ou sigmoide, podendo, entretanto, ocorrer em qualquer local entre o ceco e sigmoide.

A idade de acometimento é variável (10-80 anos), com pico de incidência ao longo da quinta década de vida. Há predomínio nos pacientes obesos e nas mulheres.

Quadro clínico: Os principais sinais e sintomas são dor abdominal (na maioria dos casos, a dor é mais comum no quadrante inferior esquerdo) e febre. Nos exames laboratoriais, os achados mais comuns são o aumento do número de células branca e PCR.

    Exames de imagem:
  • Ultrassonografia do abdome : Pode ser um bom exame em mãos experientes. Irá demonstrar uma lesão ovalada, hiperecogênico, sem fluxo no estudo com Doppler colorido associado a espessamento e aumento da ecogenicidade do tecido subcutâneo adjacente;
  • Tomografia computadorizada do abdome : Imagem ovalada, paracólica, medindo cerca de 1 a 5 cm, com densidade de gordura e centro radioluscente. Densificação dos planos adiposos perilesional também habitualmente é observada (figura acima).

Diagnósticos diferenciais: A pendicite aguda , diverticulite aguda , adenite mesentérica e infarto omental.

Autoria principal: Elazir Mota (Radiologia, especialista em Radiologia Pediátrica).

Purysko A, Remer E, Filho H, et al. Beyond Appendicitis: Common and Uncommon Gastrointestinal Causes of Right Lower Quadrant Abdominal Pain at Multidetector CT. Radiographics. 2011; 31(4):927-47

Almeida A, Melão L, Viamonte B, et al. Epiploic Appendagitis: An Entity Frequently Unknown to Clinicians--Diagnostic Imaging, Pitfalls, and Look-Alikes. AJR Am J Roentgenol. 2009; 193(5):1243-51.

Pignaton G, Borges AA, Mendonça R, et al . Apendagite epiplóica: tratamento conservador. Rev Bras Colo-proctol. 2008; 28(3):350-352.

Singh AK, Gervais DA, Hahn PF, et al. Acute epiploic appendagitis and its mimics. Radiographics. 2005; 25:1521-34.

Varela U, Fuentes MV, Rivadeneira R. Procesos inflamatorios del tejido adiposo intraabdominal, causa no quirurgica de dolor abdominal agudo: hallazgos en tomografia computada. Rev Chil Radiol. 2004; 10:28-34.