Conteúdo copiado com sucesso!

Apendicite Aguda

Voltar
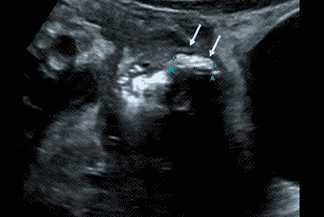
Texto alternativo para a imagem Figura 1. Créditos: Dra. Elazir Mota - Rio de Janeiro/RJ
Texto alternativo para a imagem Figura 2. Créditos: Dra. Elazir Mota - Rio de Janeiro/RJ

Descrição das figuras 1 e 2: Ultrassonografia do abdome. Paciente jovem com queixa de dor na fossa ilíaca direita e febre iniciada há dois dias. Realizou ultrassonografia do abdome na emergência, evidenciando apêndice espessado, medindo 0,9 cm, não compressível e com aumento da vascularização parietal ao Doppler colorido (figura 1). Observa-se, ainda, presença de apendicolito na sua extremidade, caracterizado por imagem ecogênica com sombra acústica posterior (figura 2 - setas brancas).

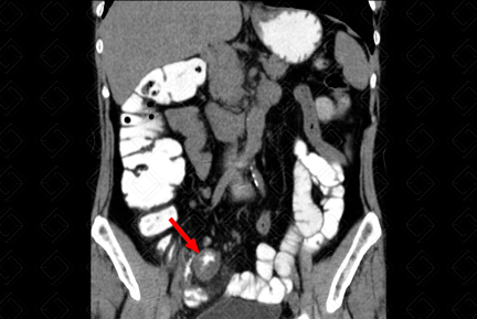
Texto alternativo para a imagem Figura 3. Créditos: Athena Hub/Medical Harbour

Descrição da figura 3: Tomografia computadorizada do abdome com contraste oral : Plano coronal evidenciando apêndice cecal de calibre aumentado, medindo 1,9 cm (seta vermelha). Observa-se, ainda, tênue densificação dos planos adiposos de permeio.

Autor(a) principal: Elazir Mota (Radiologia, especialista em Radiologia Pediátrica).

Corness J, Mengersen K, Harden F. Ultrasound of paediatric appendicitis and its secondary sonographic signs: providing a more meaningful finding. J Med Radiat Sci., 2016; 63(1):59-66.

Lee MW, Kim YJ, Jeon HJ, et al. Sonography of acute right lower quadrant pain: importance of increased intraabdominal fat echo. Am J Roentgenol, 2009; 192:174-9.

Orth RC, Guillerman RP, Zhang W, et al. Prospective comparison of MR imaging and US for the diagnosis of pediatric appendicitis. Radiology, 2014; 272:233-40.