Conteúdo copiado com sucesso!

Aplasia Pulmonar

Voltar
Texto alternativo para a imagem Figura 1. Créditos: Dra. Elazir Mota - Rio de Janeiro/RJ
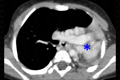
Texto alternativo para a imagem Figura 2. Créditos: Dra. Elazir Mota - Rio de Janeiro/RJ

Descrição das figuras 1 e 2: Paciente com 2 anos, realizou radiografia de tórax na emergência. Observou-se a presença de hemitórax opaco, com o lado acometido de dimensões reduzidas. A equipe da radiologia optou por complementar estudo com tomografia do tórax após a administração do contraste venoso. Foi evidenciado brônquio fonte esquerdo, que termina em fundo cego (seta vermelha) e a não existência da artéria pulmonar esquerda (asterisco), compatível com diagnóstico de aplasia pulmonar. Não há evidências de parênquima pulmonar esquerdo, com desvio ipsilateral do mediastino.

Aplasia pulmonar: Faz parte do espectro de anomalias do parênquima e circulação pulmonares. O espectro inclui agenesia, aplasia e hipoplasia pulmonar. Na aplasia pulmonar, nota-se a presença de um brônquio que termina em fundo cego, de aspecto rudimentar, sem evidência de vascularização ou parênquima pulmonar. [cms-watermark]

Na agenesia pulmonar há completa ausência do parênquima pulmonar associado a não identificação dos vasos pulmonares e brônquios. Como achados radiográficos, observa-se uma opacidade difusa no hemitórax acometido, com desvio ipsilateral do mediastino e sinais de hiperinsuflação no pulmão normal. A tomografia computadorizada (TC) do tórax confirma a ausência do parênquima pulmonar, de artéria e veias pulmonares, bem como do brônquio principal. Outras anomalias podem estar associadas.

É importante diferenciar a agenesia de outras condições semelhantes, como aplasia e hipoplasia pulmonares. Na aplasia pulmonar, nota-se a presença de um brônquio que termina em fundo cego, de aspecto rudimentar, sem evidência de vascularização ou parênquima pulmonar. Os achados de imagem na radiografia de tórax são muito semelhantes à agenesia. O grande papel da TC de tórax é identificar o brônquio rudimentar.

Já na hipoplasia pulmonar, identifica-se o brônquio e os vasos pulmonares, no entanto, eles possuem dimensões reduzidas. Está diretamente relacionada a fatores que comprometam o adequado crescimento pulmonar. Nas crianças, a causa mais comum é a hérnia diafragmática. A TC de tórax é útil para identificar todas essas estruturas presentes, conferindo a correta caracterização do tipo de malformação. [cms-watermark]

Exames de imagem: A tomografia computadorizada do tórax é o exame de imagem de escolha para a avaliação dessas anomalias. Sempre realizá-la com contraste venoso para adequada avaliação da circulação pulmonar (figuras acima).

Autoria principal: Elazir Mota (Radiologia, especialista em Radiologia Pediátrica).

Kyncl M, Koci M, Ptackova L, et al. Congenital bronchopulmonary malformation: CT histopathological correlation. Biomed Pap Med Fac Univ Palacky Olomouc CzechRepub. 2016; 160(4):533-537.

Lee EY, Boiselle PM, Cleveland RH. Multidetector CT evaluation of congenital lung anomalies. Radiology. 2008; 247(3):632- 48.

Panicek DM, Heitzman ER, Randall PA, et all.The continuum of pulmonar developmental anomalies. Radiographics. 1987; 7(4):748.

Pereira-Silva JL, Kavakama J, Terra Filho M, et al. Consenso Brasileiro sobre terminologia dos descritores de tomografia computadorizada de tórax. J Bras Pneumol. 2005; 31:149-56.