Conteúdo copiado com sucesso!

Arco Aórtico à Direita

Voltar
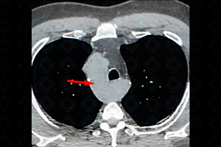
Texto alternativo para a imagem Créditos: Dra. Elazir Mota - Rio de Janeiro/RJ

Descrição da figura: Tomografia computadorizada do tórax evidenciando arco aórtico à direita (seta vermelha).

Arco aórtico à direita: Trata-se de uma das variantes do arco aórtico, rara (ocorre em aproximadamente 0,1% da população) e caracteriza-se pelo curso do arco aórtico à direita da traqueia. Diferentes tipos podem ser encontrados, dependendo dos ramos supra-aórticos, sendo os mais comuns: arco aórtico à direita com os ramos supra-aórticos dispostos em espelho e arco aórtico direito com subclávia esquerda aberrante. Essa variação anatômica pode estar associada a uma variedade de defeitos cardíacos congênitos.

Quadro clínico: A maioria dos pacientes é assintomática, sendo um achado incidental. No entanto, pode causar sintomas quando associado a outras anomalias vasculares, como anel vascular e, nesses casos, levar à compressão do esôfago ou da traqueia.

    Exames de imagem:
  • Radiografia de tórax: Contorno do arco aórtico à esquerda é perdido, a curvatura traqueal se faz à esquerda ao nível do arco aórtico, aorta descendente à direita;
  • Tomografia computadorizada ou ressonância magnética do tórax: P ermitem visualização direta do arco aórtico à direita (f igura acima).

Diagnósticos diferenciais: Outras anomalias vasculares.

Autoria principal: Elazir Mota (Radiologia, especialista em Radiologia Pediátrica).

Muller CO, Derycke L, Kheniche A, et al. Routine multi detector computed tomography evaluation of tracheal impairment compared to laryngo-tracheal endoscopy in children with vascular ring. Pediatr Surg Int. 2018; 34(8):879-884.

Altun G, Babaoğlu K, Oğuz D, et al. Crossed pulmonary arteries associated with persistent truncus arteriosus and right aortic arch on the three-dimensional computed tomographic imaging. Anadolu Kardiyol Derg. 2013; 13(5):E29.

Grillo HC, Wright CD. Tracheal compression with "hairpin" right aortic arch: management by aortic division and aortopexy by right thoracotomy guided by intraoperative bronchoscopy. Ann. Thorac. Surg. 2007; 83 (3): 1152-7.

Burke RP, Wernovsky G, van der Velde M, et al. Video-assisted thoracoscopic surgery for congenital heart disease. J Thorac Cardiovasc Surg. 1995; 109(3):499-507.