Conteúdo copiado com sucesso!

Ascaridíase (Infantil)

Voltar
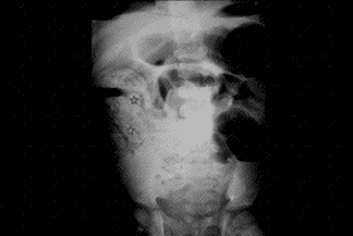
Texto alternativo para a imagem Créditos: Dra. Elazir Mota - Rio de Janeiro/RJ

Descrição da figura: Radiografia de abdome AP em ortostase evidencia importante distensão de algumas alças de delgado, ausência de gás no reto e a clássica imagem em "miolo de pão" (asteriscos), compatível com obstrução intestinal por infestação de Ascaris lumbricoides .

Ascaridíase: Causada pela infecção por Ascaris lumbricoides , que tipicamente se apresenta com quadro abdominal ou pulmonar, dependendo do estágio da doença.

Quadro clínico: Em geral, o paciente apresenta sintomas abdominais quando há obstrução mecânica, causada pela infestação de Ascaris , podendo levar a um quadro de invaginação intestinal ou até mesmo volvo. Lembrando que o quadro abdominal ocorre pela ingestão de vermes adultos. Pode ocorrer, ainda, um quadro pulmonar, mas nesses casos isso deve-se pela ingestão dos ovos viáveis do Ascaris .

    Exames de imagem: Em geral, a infestação ocorre na população pediátrica e os exames de imagem de escolha são:
  • Radiografia de abdome: Para avaliar a presença ou não de obstrução intestinal. Quando há infestação por Ascaris , observamos a presença da clássica imagem em "miolo de pão" (figura acima) ;
  • Seriografia: Diante da suspeita de obstrução intestinal, a seriografia ainda é um exame muito utilizado na população pediátrica. A infestação por Ascaris aparece como extensa falha de enchimento, podendo até mesmo observarmos a presença de imagens tubulares lineares, compatível com Ascaris ;
  • Ultrassonografia de abdome: Em alguns casos, pode evidenciar o verme no interior da alça intestinal;
  • Tomografia computadorizada do abdome: Nunca deve ser solicitada quando a suspeita diagnostica for essa, pela excessiva dose de radiação ionizante a qual a criança será exposta. No entanto, caso solicitada, também observaremos estruturas tubulares no interior das alças ou da cavidade gástrica.

Diagnósticos diferenciais: Qualquer causa de obstrução mecânica intestinal (isso pode ocorrer pela infestação por Ascaris e o surgimento do bolo de Ascaris ).

Autoria principal: Elazir Mota (Radiologia, especialista em Radiologia Pediátrica).

Álvarez-Solís RM, et al. Diferencias clínicas entre oclusión y suboclusión intestinal por Ascaris lumbricoides. Datos que orientan al tratamiento quirúrgico. Acta Pediatrica de Mexico. 2011; 32(3):156-162.

Alves ACA, et al. Síndrome de Loeffler. Revista Paraense de Medicina. 2012; 26(2).

Castillo EM, et al. Ascarisis Hepatobiliar: Informe de caso. Revista Médica Hondureña. 2011; 79(2):75-78.

Crompton D. The Prevalence os Ascariasis. Parasitol Today. 1988; 4(6):162-9.