Conteúdo copiado com sucesso!

Asma

Voltar
Texto alternativo para a imagem
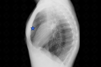
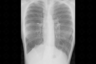
Texto alternativo para a imagem Figuras 1 e 2. Créditos: Dra. Elazir Mota - Rio de Janeiro/RJ

Descrição das figuras 1 e 2: Radiografia de tórax PA e perfil. Paciente do sexo feminino, 14 anos, com frequentes exacerbações da asma. Observa-se na radiografia alguns sinais de hiperinsuflação pulmonar, como coração em gota e aumento do espaço anteroposterior da caixa torácica, notadamente na região retroesternal (asterisco).

Asma: É uma doença crônica de natureza inflamatória caracterizada pela hiperreatividade brônquica das vias aéreas inferiores a vários estímulos, resultando em limitação variável ao fluxo aéreo reversível espontaneamente ou com tratamento.

A incidência da asma tem aumentado nos últimos anos e estima-se que atualmente afete aproximadamente 7% da população mundial, sendo mais frequente em crianças que adultos . Entre pacientes adultos, as mulheres apresentam maiores morbidade e mortalidade por asma.

Quadro clínico: O s principais sintomas são dispneia, tosse, sibilância (chiado), sensação de aperto no peito ou desconforto torácico, particularmente à noite ou nas primeiras horas da manhã. Esses sintomas são caracteristicamente episódicos, com frequência e intensidade variáveis entre diferentes pacientes e eventualmente no mesmo paciente, em diferentes épocas do ano.

    Achados de imagem:
  • Radiografia de tórax: O exame é normal na maioria dos casos. No entanto, nos casos mais graves e com exacerbações frequentes, pode-se observar: atelectasias, oligoemia periférica, espessamento de paredes brônquicas e sinais de hiperinsuflação pulmonar (como nas imagens acima);
  • Tomografia computadorizada de tórax: Costuma ser normal somente em 10-30% dos casos. Os achados mais frequentes são espessamento de parede brônquica, áreas de parênquima pulmonar com diminuição da atenuação e vascularização (padrão de atenuação e perfusão em mosaico) nas imagens inspiratórias e áreas de aprisionamento aéreo no estudo em expiração.

A radiografia e tomografia computadorizada do tórax não são indicadas na avaliação de rotina de pacientes com asma. A radiografia será solicitada nos pacientes com asma suficientemente grave para justificar internação hospitalar ou quando houver suspeita de complicações (como pneumonia, pneumomediastino ou pneumotórax).

Diagnósticos diferenciais: Qualquer outra patologia que curse com achados semelhantes de hiperreatividade brônquica que são aprisionamento aéreo e espessamento de paredes brônquicas.

Autoria principal: Elazir Mota (Radiologia, especialista em Radiologia Pediátrica).

Stirbulov R, Bernd LAG, Sole D. IV Diretrizes para o manejo asma. J Bras Pneumol. 2006; 32(Supl 7):S447-S74.

Silva CIS, Colby TV, Muller NL. Asthma and associated conditions: high-resolution CT and pathologic findins. AJR Am J Roentgenol. 2004; 183:817-24.

Gono H, Fujimoto K, Kawakami S, et al. Evaluation of airway wall thickness and air trapping by HRCT in asymptomatic asthma. Eur Respir J. 2003; 22(6):965-71.

Stack AM, Caputo GL. Pneumomediastinum in childhood asthma. Pediatr Emerg Care. 1996; 12(2):98-101.

Goljan EF. Rapid Review Pathology. 5th ed. Philadelphia: Elsevier Saunders, 2018.