Conteúdo copiado com sucesso!

Aspectos Normais do Timo

Voltar
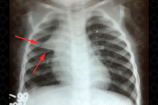
Texto alternativo para a imagem Figura 1. Créditos: Dra. Elazir Mota - Rio de Janeiro/RJ
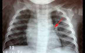
Texto alternativo para a imagem Figura 2. Créditos: Dra. Elazir Mota - Rio de Janeiro/RJ

Aspectos normais do timo na radiografia de tórax: O timo normal muitas vezes apresenta sua avaliação prejudicada na radiografia de tórax dos recém-nascidos e lactentes, podendo ser interpretado erroneamente como alargamento do mediastino ou aumento da área cardíaca.

    Sinais sugestivos do timo na radiografia:
  • Sinal do barco a vela: Embora clássico, é um achado pouco frequente nas radiografias de tórax, sendo observado em somente 5% dos casos. Na figura 1 , observa-se o lobo tímico direito com aspecto triangular, com uma base nitidamente demarcada pela fissura menor;
  • Sinal da onda: Presença de discretas compressões nas margens tímicas causadas pela impressão dos arcos costais anteriores;
  • Sinal da incisura: Observa-se a junção do timo e da silhueta cardíaca na figura 2 .

O timo involui por volta dos 3 anos de idade e, a partir daí, torna-se cada vez mais difícil sua visualização nas radiografias de tórax. Por isso, sua visualização em crianças mais velhas e adolescentes não deve ser considerada normal.

É importante estar atento para algumas situações de estresse, como cardiopatias, sepse e desnutrição, que podem levar à rápida involução do timo. Durante a fase de recuperação do lactente, o timo cresce muito rapidamente, efeito chamado de rebote tímico. Esse achado é frequentemente observado nas radiografias de controle e não deve preocupar o pediatra ou o radiologista.

Autoria principal: Elazir Mota (Radiologia, especialista em Radiologia Pediátrica).

Wang W, Thomas R, Sizova O, et al. Thymic Function Associated With Cancer Development, Relapse, and Antitumor Immunity - A Mini-Review. Front Immunol. 2020; 11:773.

Nasseri F, Eftekhari F. Clinical and Radiologic Review of the Normal and Abnormal Thymus: Pearls and Pitfalls. Radiographics. 2010; 30(2):413-28.

Alvares BR, Pereira ICMR, Araujo Neto SA, et al. Achados normais no exame radiológico de tórax do recém-nascido. Radiol Bras. 2006; 39(6):435-440.

Nishino M, Ashiku S, Kocher O, et al. The Thymus: A Comprehensive Review. Radiographics. 2006; 26(2):335-48.