Conteúdo copiado com sucesso!

Aspiração de Corpo Estranho

Voltar
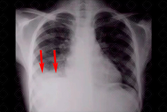
Texto alternativo para a imagem Figura 1. Créditos: Dra. Elazir Mota - Rio de Janeiro/RJ

Descrição da figura 1: Radiografia de tórax evidenciando opacidade na base pulmonar direita (setas vermelhas), apagando o contorno diafragmático deste lado. Tratava-se de uma paciente jovem, com relato de pneumonias de repetição há cerca de 2 anos. O corpo estranho foi suspeitado tardiamente e evidenciando durante broncoscopia.

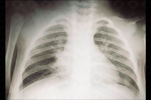
Texto alternativo para a imagem Figura 2. Créditos: Dra. Elazir Mota - Rio de Janeiro/RJ

Descrição da figura 2: Radiografia de tórax evidenciando sinais de hiperinsuflação do pulmão direito. Observe que a transparência pulmonar neste pulmão se encontra aumentada em relação ao contralateral e com a trama vascular reduzida, sugerindo hiperaeração deste parênquima. A causa foi aspiração de milho de pipoca.

Aspiração de corpo estranho: A feta mais comumente as crianças com faixa etária ao redor dos 6 meses a 3 anos, mas pode ocorrer em qualquer idade na infância. A maioria desses pacientes são diagnosticados horas ou dias após o evento. No entanto, nos casos não presenciados pelos pais, esse diagnóstico pode ser tardio, ocorrendo após meses ou até anos.

Usualmente, eles estão localizados no brônquio direito, pela sua posição mais verticalizada e seu maior diâmetro. É preciso ter em mente que boa parte dos corpos estranhos aspirados são radioluscentes na radiografia convencional. Deste modo, pediatra e radiologista devem estar atentos ao sinais indiretos que serão discutidos adiante.

Quadro clínico: A sintomatologia depende do tipo, do tamanho, da localização e do grau de obstrução causado pelo corpo estranho e inclui: tosse persistente, diminuição da entrada e/ou saída de ar, dificuldade respiratória, sibilos. Porém, alguns pacientes apresentam-se assintomáticos e sem alterações ao exame físico.

    Exames de imagem:
  • Radiografia de tórax: A radiografia de tórax pode ser normal, mas em boa parte dos casos apresenta sinais indiretos: hiperinsuflação pulmonar do lado acometido ou pode haver a presença de alguma opacidade pulmonar (atelectasia) . Na maioria dos casos, o corpo estranho causa uma obstrução parcial do brônquio, funcionando como mecanismo valvular, ou seja, o ar entra e tem dificuldade para sair, levando a hiperinsuflação. Já nos casos de obstrução total, observaremos atelectasias ( figuras 1 e 2 ) ;
  • Tomografia computadorizada do tórax: Selecionado para casos complicados ou nos quais não se descobre a origem do quadro respiratório. Na tomografia, em boa parte dos casos, observaremos o corpo estranho.

Diagnóstico diferencial: Pensando que aspiração de corpo estranho é mais comum no universo pediátrico, os principais diagnósticos diferenciais nessa faixa etária são: Hiperinsuflação pulmonar congênita , atresia brônquica, malformação pulmonar congênita (MAC), síndrome de Swyer James e plug mucoso .

Autoria principal: Elazir Mota (Radiologia, especialista em Radiologia Pediátrica).

Melo GVSB, Fonteles AS, Esmeraldo CUP, Martins MEP, Cruz JMN. Aspiração de corpo estranho em crianças: aspectos clínicos e radiológicos. Resid Pediatr. 2015;5(1):24-26.

Gilger MA, Jain MA, McOmber ME. Foreign bodies of the esophagus and gastrointestinal tract in children. In: Basow DS, ed. UpToDate. Waltham, Mass: UpToDate, 2013.

Denney W, Ahmad N, Dillard B, Nowicki MJ. Children will eat the strangest things: a 10-year retrospective analysis of foreign body and caustic ingestions from a single academic center. Pediatr Emerg Care 2012;28(8):731-734.

Freire LMS. Diagnóstico diferencial em pediatria. Tosse Crônica. Rio de Janeiro: Guanabara-Koogan; 2008. p.133-6.

Mu LC, Sun DQ, He P. Radiological diagnosis of aspirated foreign bodies in children: review of 343 cases. J Laryngol Otol 1990;104(10):778-782.