Conteúdo copiado com sucesso!

Astrocitoma Pilocítico

Voltar
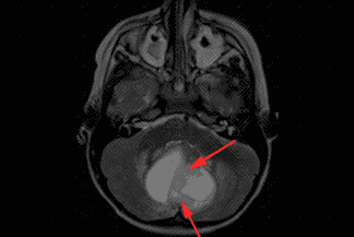
Texto alternativo para a imagem Créditos : Dra. Elazir Mota - Rio de Janeiro

Descrição da imagem: Ressonância magnética do crânio. Sequência T2: lesão com sinal muito elevado na sua porção líquida (lembrar que água/líquido “brilham” em T2) e, além disso, observa-se que a porção sólida do tumor apresenta tênue hipersinal em relação ao parênquima adjacente (setas vermelhas).

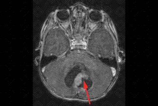
Texto alternativo para a imagem Créditos: Dra. Elazir Mota - Rio de Janeiro/RJ

Descrição da imagem: Na sequência T1 pós-contraste, há intenso realce do componente sólido (seta vermelha).

Astrocitoma pilocítico (AP): É o segundo tumor mais comum da fossa posterior nas crianças, perdendo apenas para o meduloblastoma em prevalência. Tumor benigno, na maior parte das vezes sendo o subtipo pilocítico juvenil - grau I pela Organização Mundial da Saúde (OMS).

Cerca de 60% dos casos ocorrem na fossa posterior, com predileção pelo hemisfério cerebelar. Este tumor acomete uma faixa etária variável, desde o nascimento até os 9 anos de idade. Apresenta um segundo pico de crescimento, na vida adulta, entre 20 e 40 anos.

Lembrar que até 15% dos pacientes com neurofibromatose tipo 1 (NF1) desenvolvem AP, mais comumente na via óptica.

Quadro clínico: A apresentação clínica varia com a localização, sendo cefaleia, náuseas e vômitos os sintomas mais comuns. Pode ocorrer perda visual quando a lesão está na via óptica. Ataxia e sinais cerebelares nas lesões cerebelares.

    Achados de imagem:
  • Tomografia computadorizada do crânio: Apresenta-se como lesão cística ou sólido-cística (forma clássica de apresentação: cisto com nódulo mural). A porção sólida apresenta intenso realce após a administração do contraste venoso;
  • Ressonância magnética do crânio: A porção sólida da lesão apresenta hipersinal em T2, traduzindo a baixa celularidade da lesão. Há também intenso realce pós-contraste da porção sólida da lesão, sem restrição à difusão.

Diagnósticos diferenciais: Outros tumores da fossa posterior na população pediátrica (destacando-se o meduloblastoma e ependimoma). Já na população adulta, o principal diagnóstico diferencial será o hemangioblastoma (também cursa com grande cisto com nódulo mural, associa-se à doença de Von Hippel-Lindau).

Autoria principal: Elazir Mota (Radiologia, especialista em Radiologia Pediátrica).

Brandão LA, Young Poussaint T. Posterior Fossa Tumors. Neuroimaging Clin N Am. 2017; 27(1):1-37.

Barkovich AJ, Koch BL, Moore KR. Diagnostic imaging: pediatric neuroradiology. 2nd ed. Philadelphia: Elsevier, 2014.

Ostrom QT, Gittleman H, Fulop J, et al. CBTRUS statistical report. Neuro Oncol. 2015; 17:iv1–62.

Poretti A, Meoded A, and Huisman TAGM. Neuroimaging of pediatric posterior fossa tumors including review of the literature. J Magn Reson Imaging. 2012; 35:(1)32-47.

Arai K, Sato N, Aoki J, et al. MR signal of the solid portion of pilocytic astrocytoma on T2-weighted images: is it useful for differentiation from medulloblastoma? Neuroradiology. 2006; 48: 233– 237.