Conteúdo copiado com sucesso!

Bronquiectasias

Voltar
Texto alternativo para a imagem Créditos: Dra. Elazir Mota - Rio de Janeiro/RJ.

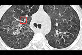
Descrição da imagem: Sinal do anel em sinete, que corresponde ao diâmetro interno do brônquio, aparece maior que o diâmetro do vaso pulmonar adjacente (artéria), como indica a caixa vermelha na figura.

Texto alternativo para a imagem
Texto alternativo para a imagem Créditos: Dra. Elazir Mota - Rio de Janeiro/RJ.

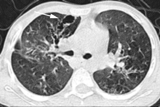
Descrição das imagens: Paciente infantil, sexo masculino, 11 anos, em acompanhamento de fibrose cística. Na tomografia de tórax observam-se extensas bronquiectasias varicosas (setas brancas).

Texto alternativo para a imagem
Texto alternativo para a imagem Créditos: Dra. Elazir Mota - Rio de Janeiro/RJ

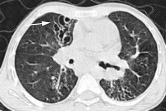
Descrição das imagens: Paciente infantil, sexo feminino, 8 anos, com história de aspiração de corpo estranho (milho de pipoca) diagnosticado tardiamente. Tomografia de tórax revela substituição de todo parênquima pulmonar esquerdo sendo ocupado por extensas bronquiectasias, de caráter sequelar. Observa-se na reconstrução tridimensional (3D) a importante destruição do parênquima pulmonar à esquerda (seta branca).

Bronquiectasias: Trata-se de uma dilatação brônquica anormal, persistente e irreversível, geralmente associada à inflamação na via aérea e no parênquima pulmonar. Em geral, a presença de bronquiectasias mantém uma correlação direta com o número e a gravidade das infecções respiratórias, principalmente nas crianças.

    As principais causas de bronquiectasias:
  • Infecções: pneumonia, tuberculose;
  • Obstrução brônquica: neoplasia, corpo estranho;
  • Anomalias congênitas de brônquios: traqueobroncomegalia (síndrome de Mounier Kuhn), síndrome de William-Campbell, atresia brônquica;
  • Defeitos genéticos hereditários: fibrose cística, discinesia ciliar primária;
  • Deficiências imunológicas: HIV, hipogamaglobulinemia;
  • Bronquite ou pneumonite tóxica: inalação de amônia, aspiração de conteúdo gástrico;
  • Doença de colágeno: artrite reumatoide, síndrome de Sjogren;
  • Fibrose do parênquima: pneumonia intersticial fibrosante (PIU, PINE), sarcoidose e tuberculose;
  • Miscelâneas: asma, aspergilose broncopulmonar alérgica (ABPA), bronquiolite obliterante, etc.

Quadro clínico: Paciente pode ser assintomático ou apresentar episódios recorrentes de infecção das vias aéreas superiores, tosse produtiva e hemoptise.

    Achados de imagem:
  • Radiografia de tórax: E xame anormal no paciente com bronquiectasias no entanto, bastante limitada para avaliá-las de modo adequado quanto sua morfologia e extensão;
  • Tomografia computadorizada do tórax: D etecta-se bronquiectasia quando o diâmetro interno do brônquio aparece maior que o diâmetro do vaso pulmonar adjacente (artéria), descrito com sinal do anel em sinete (primeira imagem).
    As bronquiectasias podem ser classificadas quanto a sua morfologia:
  1. Cilíndricas : O brônquio encontra-se dilatado de forma uniforme, terminando de maneira abrupta.
  2. Císticas ou saculares: As dilatações brônquicas aumentam progressivamente em direção à periferia do pulmão.
  3. Varicosas: Os brônquios dilatados não possuem tamanho ou forma regulares, apresentando várias áreas de constrições.

Diagnóstico diferencial: Nos exames de imagem, a bronquiectasia possui uma apresentação muito clássica. No entanto, é importante notar que existem diversos fatores etiológicos, já descritos, para seu surgimento.

Autoria principal: Elazir Mota (Radiologia, especialista em Radiologia Pediátrica).

Hochhegger B, Irion K, Bello R, et al. Entendendo a classificação, a fisiopatologia e o diagnóstico radiológico das bronquiectasias. Rev Port Pneumol. 2010; XVI (4): 627-639.

Moreira JS, Porto NS, Camargo JJP, et al. Bronquiectasias: aspectos diagnósticos e terapêuticos Estudo de 170 doentes. J Pneumol. 2003; 29:258-263.

King P, Holdsworth S, Freezer N, et al. Bronchiectasis. Intern Med J. 2006; 36(11):729 -737.

Solanki T, Neville E. Bronchiectasis and rheumatoid disease: is there an association? Br. J. Rheumatol. 1992; 31(10):691-3.

Collins J, Stern EJ. Chest radiology, the essentials. 2nd ed. Philadelphia: Lippincott Williams & Wilkins, 2007.