Conteúdo copiado com sucesso!

Bronquiolite

Voltar
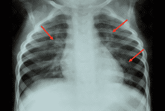
Texto alternativo para a imagem Figura 1. Crédito: Dra. Elazir Mota - Rio de Janeiro/RJ
Texto alternativo para a imagem Figura 2. Crédito: Dra. Elazir Mota - Rio de Janeiro/RJ

Descrição da lesão: Radiografia de tórax AP e perfil, evidenciando infiltrado intersticial peribroncovascular bilateral (setas vermelhas) e discreta hiperaeração do parênquima pulmonar.

Bronquiolite : Muito comum nos lactentes e recém-nascidos, causado por uma infecção viral que afeta os brônquios e espaço peribrônquico. Os principais vírus envolvidos são: vírus sincicial respiratório (VSR - principal vírus envolvido), metapneumovírus, adenovírus, rinovírus e parainfluenza.

Quadro clínico: O pe ríodo de incubação da doença é de cerca de 4 a 5 dias. O quadro se inicia como uma IVAS (infecção da via aérea superior), com coriza, espirros, obstrução nasal, hiporexia e febre, com evolução nos dias subsequentes para sibilância, expiração prolongada e até mesmo, sinais de esforço respiratório.

    Exames de imagem:
  • Radiografia de tórax: P ulmões hiperaerados (principal sinal radiológico). Lembrar que, na população pediátrica, considera-se que os pulmões estão hiperinsuflados quando se contam mais de seis arcos costais anteriores. Outros achados: espessamento peribrônquico difuso, atelectasias segmentares ou subsegmentares, áreas de aprisionamento aéreo;
  • Tomografia computadorizada do tórax: O diagnóstico de bronquiolite usualmente é clínico, não sendo realizada tomografia computadorizada do tórax, exceto em casos mais graves ou não típicos. O exame pode revelar áreas de perfusão em mosaico (com aprisionamento aéreo), espessamento de paredes brônquicas e atelectasias.

Diagnósticos diferenciais: O utros quadros pulmonares, como pneumonia aspirativa (em geral, com história importante e achados de imagem característicos), pneumonia bacteriana, asma, outras infecções virais.

Autoria principal: Elazir Mota (Radiologia, especialista em Radiologia Pediátrica).

Sciarrabone GM, Minelli R, Cassata N, et al. Application of POCUS lung ultrasound in infants with bronchiolitis: a prospective study. J Radiol Rev. 2023; 10:53-62.

Guillerman RP. Imaging of childhood interstitial lung disease. Pediatr Allergy Immunol Pulmonol. 2010; 23(1):43-68.

O'Grady KA, Torzillo PJ, Frawley K, et al. The radiological diagnosis of pneumonia in children. Pneumonia. 2014; 5:38-51.

Tanaka N, Matsumoto T, Miura G, et al. Air trapping at CT: high prevalence in asymptomatic subjects with normal pulmonary function. Radiology. 2003; 227:776–785.

Eslamy HK, Newman B. Pneumonia in normal and immunocompromised children: An overview and update. Radiol Clin North Am. 2011; 49(5):895-920.