Conteúdo copiado com sucesso!

Cálculo Renal

Voltar
Texto alternativo para a imagem
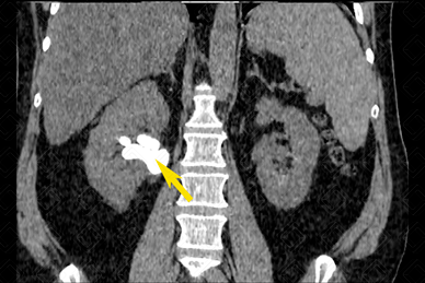
Texto alternativo para a imagem Figuras 1 e 2. Créditos: Dra. Elazir Mota - Rio de Janeiro/RJ

Descrição das figuras 1 e 2: Tomografia computadorizada de abdome, plano coronal, evidenciando cálculos renais bilaterais (setas vermelhas). Observe, ainda, a presença de cálculo coraliforme à direita, “moldando” a pelve renal (seta amarela).

Cálculo renal (nefrolitíase): Os cálculos são compostos por uma combinação de cristais (orgânicos e inorgânicos) e proteínas. Uma vez no sistema coletor, esses cálculos podem migrar para a junção ureteropiélica, óstio ureterovesical ou bexiga. Na maioria das vezes, o urologista necessita das seguintes informações do radiologista: exata localização do cálculo, tamanho, sua densidade (por meio dela, eles estimam qual é o mais provável material do cálculo) e medida da distância do cálculo da pele do paciente (principalmente nos casos submetidos à litotripsia).

Quadro clínico: E m geral, quando localizados nos rins, os cálculos não causam sintomatologia.

    Exames de imagem:
  • Radiografia de abdome: Não é mais o exame de escolha, mas visualiza boa parte dos cálculos. Lembrando que existem alguns tipos de cálculos que são radioluscentes (ou seja, não são visualizados) no exame convencional do abdome e são eles: ácido úrico, xantina e cistina ;
  • Ultrassonografia do abdome: Exame de imagem de escolha para avaliação de cálculo no sistema coletor ou ureter na população pediátrica , pela ausência de radiação ionizante. Vale lembrar que cálculos renais não são comuns em crianças. Na ultrassonografia, os cálculos se apresentam como estrutura ecogênica, com forte sombra acústica posterior. O artefato twinkling (também conhecido como artefato de piscar) pode auxiliar na sua detecção com o uso do Doppler colorido. A limitação da ultrassonografia para avaliação de cálculos ocorre quando eles são menores que 5 mm e dificilmente vão apresentar uma sombra acústica posterior adequada;
  • Tomografia computadorizada do abdome e pelve: E xame de escolha para avaliação de cálculos renais. Neste exame, todos os cálculos são bem visualizados já que apresentam densidade superior a 200 UH e há bom contraste com as partes moles adjacentes (a única exceção são os cálculos de Indinavir). Nestes casos, a tomografia deve ser realizada sem a administração do contraste venoso. Os cálculos apresentam-se neste exame como estruturas espontaneamente densas (f iguras acima).

Diagnósticos diferenciais : Imagem bem característica nos exames de imagem, logo sem diagnósticos diferenciais.

Autoria principal: Elazir Mota (Radiologia, especialista em Radiologia Pediátrica).

Kielar AZ, Shabana W, Vakili M, et al. Prospective evaluation of Doppler sonography to detect the twinkling artifact versus unenhanced computed tomography for identifying urinary tract calculi by the Institute of Ultrasound in Medicine. J Ultrasound Med. 2012; 31:1619-25.

Kambadakone AR, Eisner BH, Catalano OA, et al. New and Evolving Concepts in the Imaging and Management of Urolithiasis: Urologists’ Perspective. Radiographics. 2010; 30(3):603-23.

Niemann T, Kollmann T, Bongartz G. Diagnostic performance of low-dose CT for the detection of urolithiasis: a meta-analysis. AJR Am J Roengenol. 2008; 191:396–40.

Moe OW. Kidney stones: pathophysiology and medical management. Lancet. 2006; 367(9507):333-344.

Lee JY, Kim SH, Cho JY, et al. Color and power Doppler twinkling artifacts from urinary stones: clinical observations and phantom studies. AJR Am J Roentgenol. 2001; 176:1441–1445.