Conteúdo copiado com sucesso!

Câncer de Pulmão

Voltar
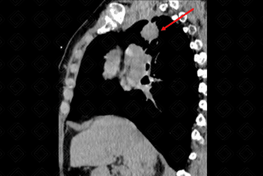
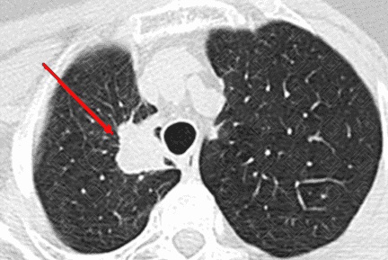
Texto alternativo para a imagem Figura 1. Créditos: Dra. Elazir Mota - Rio de Janeiro/RJ
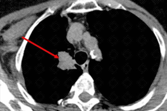
Texto alternativo para a imagem Figura 2. Créditos: Dra. Elazir Mota - Rio de Janeiro/RJ
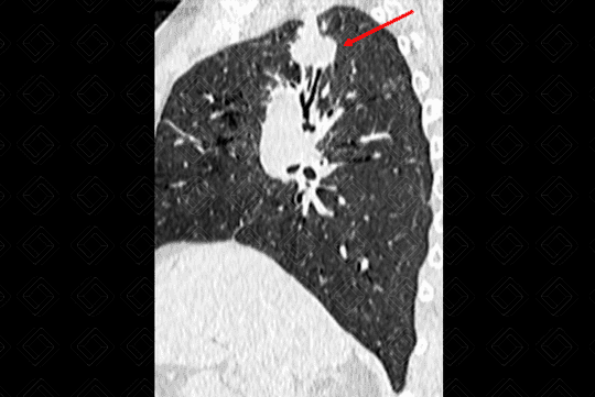
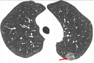
Texto alternativo para a imagem Figura 3. Créditos: Dra. Elazir Mota - Rio de Janeiro/RJ
Texto alternativo para a imagem Figura 4. Créditos: Dra. Elazir Mota - Rio de Janeiro/RJ

Descrição das figuras 1, 2, 3 e 4: Tomografia computadorizada do tórax, seguida de reconstruções axiais e sagitais. Massa pulmonar, com contornos espiculados, localizada no segmento apical do lobo superior direito, medindo 3,2 cm x 1,5 cm x 2,2 cm (setas vermelhas).

Lembrando que, acima de 3 cm, a lesão já deve ser descrita como massa. Lesões menores que 3 cm são descritas como nódulos. Isso também é importante no estadiamento TNM (lesões ≥ 3 cm já são consideradas pelo estadiamento como T2).

Na prática clínica, os carcinomas de pulmão são muitas vezes classificados simplesmente em carcinoma de pequenas células e carcinoma de não pequenas células. Este último compreende, principalmente, os adenocarcinomas (neste grupo, faz parte o carcinoma bronquioloalveolar, discutido adiante), carcinoma de células escamosas (ou epidermoide ou espinocelular) e carcinoma indiferenciado de grandes células .

Aspectos de imagem: O carcinoma de pequenas células costuma apresentar-se com extensa linfonodomegalia hilar e mediastinal associada à compressão brônquica extrínseca e tem disseminação metastática precoce. O carcinoma de células escamosas, geralmente, apresenta-se como lesão expansiva endobrônquica, muitas vezes associada à atelectasia ou pneumopatia obstrutiva. Aproximadamente, 50% dos adenocarcinomas surgem como massa ou nódulo na periferia do pulmão.

Vale lembrar que carcinomas são raramente detectados na radiografia de tórax antes de atingirem 1 cm ou mais de diâmetro.

Texto alternativo para a imagem Figura 5. Créditos: Athena Hub/Medical Harbour

Descrição da f igura 5: Tomografia computadorizada do tórax evidenciando opacidade em vidro fosco (seta vermelha). Paciente fez acompanhamento estreito, houve aumento da lesão e a mesma foi submetida à biópsia revelando carcinoma bronquioloalveolar, um subtipo de adenocarcinoma. Pacientes com lesão em vidro fosco, suspeitos, devem ser acompanhados por até cinco anos pela possibilidade desta variante de adenocarcinoma pulmonar, que apresenta crescimento muito lento.

Texto alternativo para a imagem Figura 6. Créditos: Athena Hub/Medical Harbour

Descrição da f igura 6: Tomografia computadorizada de tórax evidenciando massa, com densidade de partes moles (seta vermelha), na periferia do lobo inferior esquerdo, suspeita para neoplasia pulmonar.

Autor(a) principal: Elazir Mota (Radiologia, especialista em Radiologia Pediátrica).

Detterbeck FC, et al. The Eighth Edition Lung Cancer Stage Classification. Chest. 2017; 151(1):193-203.

Proposals for Revision of the TNM Stage Groupings in the Forthcoming (Eighth) Edition of the TNM Classification for Lung Cancer. 2016.

Rami-Porta R, et al. The Revised TNM Staging System for Lung Cancer by Ann Thorac Cardiovasc Surg. 2009; 15:4-9.

Barros JA, Valladares G, Faria AR, et al. Diagnóstico precoce do câncer de pulmão: o grande desafio. Variáveis epidemiológicas e clínicas, estadiamento e tratamento. J Bras Pneumol. 2006, 32(3); 221-7.