Conteúdo copiado com sucesso!

Calcificações do Pericárdio

Voltar
Texto alternativo para a imagem Figura 1. Créditos: Dra. Elazir Mota - Rio de Janeiro/RJ

Descrição da figura 1: Radiografia de tórax evidenciando halo de calcificação ao redor da silhueta cardíaca (setas vermelhas).

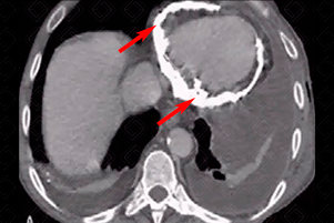
Texto alternativo para a imagem Figura 2. Créditos: Dra. Elazir Mota - Rio de Janeiro/RJ

Descrição da figura 2: Tomografia computadorizada do tórax evidenciando calcificação grosseira ao redor do pericárdio (setas vermelhas). A causa, nesse caso, foi tuberculose. Observe, ainda, que paciente apresentava derrame pleural bilateral.

Calcificações pericárdicas: E xistem várias causas, usualmente observada em pacientes com pericardite e com clínica de pericardite constrictiva. As principais causas são i diopática, pós-cirurgia cardíaca, radioterapia, trauma, neoplásicas, doenças reumatológicas ou conjuntivas e infecções (virais ou tuberculose ). A grande causa de calcificações pericárdicas em nosso meio é tuberculose.

Quadro clínico: Podem ser achados de imagem em alguns casos, mas em boa parte dos pacientes leva a quadro de pericardite constritiva. Surgem, com isso, sintomas de congestão à direita: distensão jugular, dor torácica e dispneia.

    Exames de imagem: A calcificação pericárdica pode ser visualizada tanto na radiografia (figura 1) quanto na tomografia computadorizada do tórax (figura 2).
  • Radiografia de tórax: Uma imagem radiopaca, curvilínea, envolvendo os bordos cardíacos no estudo em perfil e AP ou PA;
  • Tomografia computadorizada do tórax: Imagem espontaneamente densa no estudo tomográfica, densidade bastante elevada.

Diagnósticos diferenciais: D iante de calcificação pericárdica, cabe a nós radiologistas pensarmos nas possíveis causas, dentre elas: idiopática, pós-cirurgia cardíaca, radioterapia, trauma, neoplásicas, doenças reumatológicas ou conjuntivas e infecções (virais ou tuberculose ). A grande causa de calcificações pericárdicas em nosso meio é tuberculose.

Autoria principal: Elazir Mota (Radiologia, especialista em Radiologia Pediátrica).

Volpe MA, Paredes JEM, Maron E, et al. Constrictive Pericarditis with Extensive Calcification and Caseous Necrosis. Braz. J. Cardiovasc. Surg. 2020; 35(4):580-483.

Paniagua González M, Sánchez Alegre ML. Extensive Pericardial Calcification Secondary to Radiotherapy, Causing Mixed Constrictive-Restrictive Pathology. BJR Case Rep. 2017; 3(4):20170036.

Ima MV, Cardoso JN, Cardoso CM, et al. Constrictive pericarditis with extensive calcification. Arq Bras Cardiol. 2011; 96(1):e7-10.

Hutchison SJ. Principles of Cardiovascular Radiology. 1st ed. Philadelphia: Elsevier Saunders, 2011.

Ferguson EC, Berkowitz EA. Cardiac and pericardial calcifications on chest radiographs. Clinical radiology. 2010; 65(9):685-94.