Conteúdo copiado com sucesso!

Carcinoma Hepatocelular

Voltar
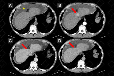
Texto alternativo para a imagem Créditos: Dra. Elazir Mota - Rio de Janeiro/RJ

Descrição da figura: Tomografia computadorizada do abdome, estudo com contraste venoso, em bomba injetora. Em A , estudo sem contraste, sendo difícil caracterizar a lesão (isodensa ao parênquima). Em B , na fase arterial, vemos nódulo hipoervascularizado (seta vermelha) no domo hepático. Em C e D , observamos lavagem ( wash out ) da lesão – consideramos que houve wash out quando a lesão fica mais hipodensa que o parênquima. No asterisco amarelo, observa-se a ascite.

Carcinoma hepatocelular (CHC): Trata-se da oitava neoplasia mais comum, representando a principal causa de malignidade hepática.

Fatores de risco: Os principais são infecção pelo vírus da hepatite B e C. Outros fatores incluem alcoolismo, hemocromatose, uso excessivo de andrógenos, deficiência de alfa-1-antitripsina, anticoncepcionais orais e outros. Nas crianças, o CHC usualmente está relacionado à infeção pelo vírus B ou doenças metabólicas, como tirosinemia.

Quadro clínico: Em geral, o quadro clínico é mascarado pela presença de cirrose ou hepatopatia crônica. Os sintomas mais comuns são dor abdominal, mal-estar, fadiga e perda de peso. Manifestações paraneoplásicas eventualmente podem estar presentes, como hipercalcemia, hiperglicemia e policitemia.

Exames laboratoriais: Abordando brevemente o tópico, pois não é o foco da nossa discussão, o achado laboratorial que melhor orienta o diagnóstico é o nível sérico de alfa-fetoproteína , com sensibilidade de 70 a 80% e especificidade de 90% em lesões maiores que 3,0 cm.

Quanto à patologia, o CHC possui três formas de apresentação: lesão focal , nódulos multifocais e doença infiltrativa difusa .

    Exames de imagem:
  • Ultrassonografia (USG) do abdome: Trata-se do exame de rastreio nos pacientes portadores de hepatopatia crônica e, muitas vezes, é o primeiro método a identificar lesão como suspeita. A partir daí, o paciente deverá realizar estudo adicional por tomografia computadorizada ou ressonância magnética do abdome com contraste venoso em bomba injetora (trifásico). No USG, a lesão costuma ser um nódulo hipoecoico, homogêneo e com discreto reforço acústico posterior;
  • Tomografia computadorizada (TC) do abdome: É fundamental o uso de bomba injetora para otimizar o estudo da dinâmica de impregnação do meio de contraste venoso. O nódulo tumoral típico é hipodenso, no estudo sem contraste, com impregnação intensa em mais de 50% da sua área na fase arterial, configurando hipervascularização, e exibe rápida lavagem do contraste na fase portal (figura acima) ;
  • Ressonância magnética (RM) do abdome: A avaliação do CHC e de sua carcinogênese é superior na RM quando comparada à TC e USG. A apresentação do CHC na podenração T1 tem espectro bastante variado, encontrando-se lesões hipointensas, iso ou hiperintensas. Já na ponderação T2, mais comumente, elas apresentam hipersinal. O padrão de impregnação pelo meio de contraste é semelhante ao já descrito na tomografia computadorizada. Cerca de 70% desses tumores podem apresentar pseudocápsula.
Características importantes do CHC é o seu comportamento localmente invasivo, com propensão a invasão vascular , com trombose e biliar .

Falaremos no LI-RADS em um tópico a parte.

Diagnósticos diferenciais: Algumas lesões podem simular CHC, como: fibrose confluente focal, nódulo de regeneração com infarto, hemangioma, hiperplasia nodular focal, hiperplasia nodular regenerativa.

Autoria principal: Elazir Mota (Radiologia, especialista em Radiologia Pediátrica).

Oliver JH, Baron RL: State of the art, helical biphasic contrast enhanced CT of the liver: Technique, indications, interpretation, and pitfalls. Radiology. 1996; 201:1-14.

Brancatelli G, Baron RL, Peterson MS, et al. Helical CT screening for HCC in patients with Cirrhosis: Frequency and causes of False-Positive interpretation. AJR. 2003; ISO: 1007-1014.

LI-RADS: a conceptual and historical review from its beginning to its recent integration into AASLD clinical practice guidance.

Nadarevic T, Giljaca V, Colli A, et al. Computed tomography for the diagnosis of hepatocellular carcinoma in adults with chronic liver disease. Cochrane Database Syst Rev. 2021; 10(10):CD013362.

Diagnostic accuracy of contrast-enhanced dynamic CT for small hypervascular hepatocellular carcinoma and assessment of dynamic enhancement patterns: Results of two-year follow-up using cone-beam CT hepatic arteriography. Choi YR, Chung JW, Yu MH, Lee M, Kim JH. PLoS One. 2018; 13(9):e0203940.