Conteúdo copiado com sucesso!

Celulite de Face

Voltar
Texto alternativo para a imagem
Texto alternativo para a imagem Créditos: Dra. Elazir Mota - Rio de Janeiro/RJ

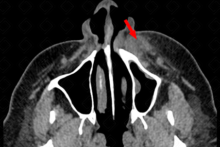
Descrição das figuras: Paciente com densificação dos planos adiposos na região maxilar esquerda, sem extensão orbitária, compatível com celulite de face (setas vermelhas).

Celulite de face: C elulite é o processo infeccioso da derme e tecido subcutâneo, sem extensão aos planos mais profundos (musculares). No caso específico da celulite de face, p ode ser uma complicação extrassinusal da rinossinusite, com ou sem envolvimento orbitário. [cms-watermark]

Geralmente está associada com a deiscência óssea, que facilita a disseminação do processo, mas também pode ocorrer por disseminação retrógrada de êmbolos sépticos para a rede venosa orbitaria, que não possui válvulas nessa região.

Quadro clínico: C ursa com dor, edema, eritema, calor e por vezes, febre.

    Existem algumas complicações relacionadas à órbita, classificação de Chandler , que as divide em:
  • Grupo 1: Celulite periorbitária;
  • Grupo 2: Celulite orbitária;
  • Grupo 3: Abscesso subperiosteal;
  • Grupo 4: Abscesso orbitário;
  • Grupo 5: Trombose de seio cavernoso.
    Exames de imagem:
  • Tomografia computadorizada da face: Observa-se a densificação dos planos adiposos, podendo haver ainda a presença de coleções no estudo pós-contraste (figuras 1 e 2);
  • Ressonância magnética da face: Outro excelente método de imagem para avaliação de celulite de face e/ou orbitária.

Diagnósticos diferenciais: E risipela, abscesso de subcutâneo, trombose venosa profunda, tromboflebite, paniculite e outros.

Autoria principal: Elazir Mota (Radiologia, especialista em Radiologia Pediátrica).

Turecki MB, Taljanovic MS, Stubbs AY, et al. Imaging of musculoskeletal soft tissue infections. Skeletal Radiology. 2010; 39(10):957.

Schmid MR, Kossmann T, Duewell S. Differentiation of necrotizing fasciitis and cellulitis using MR imaging. AJR Am J Roentgenol. 1998; 170(3):615-20.

Rahmouni A, Chosidow O, Mathieu D, et al. MR imaging in acute infectious cellulitis. Radiology. 1994; 192(2):493-6.

Yu J, Habib P. MR Imaging of Urgent Inflammatory and Infectious Conditions Affecting the Soft Tissues of the Musculoskeletal System. Emerg Radiol. 2009; 16(4):267-76.