Conteúdo copiado com sucesso!

Cistite Enfisematosa

Voltar
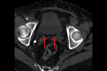
Texto alternativo para a imagem Créditos: Dra. Elazir Mota - Rio de Janeiro/RJ

Descrição da figura: Tomografia computadorizada do abdome superior e pelve evidenciando gás na parede posterior da bexiga (setas vermelhas), compatível com cistite enfisematosa.

Cistite enfisematosa: Trata-se de uma rara complicação de infecções do trato urinário, desenvolvida pela presença, na bexiga, de bactérias produtoras de gás, como Escherichia coli e Klebsiella pneumoniae . Em geral, o diagnóstico só é possível por meio de exames de imagem, já que o quadro clínico é muito semelhante quando comparado a infecções urinárias graves.

Mais comum nas pacientes do sexo feminino (2:1), principalmente nas pacientes acima dos 60 anos. Os principais fatores de risco são diabetes mellitus (considerado principal fator de risco, presente em cerca de 50% dos casos), pacientes imunocomprometidos, bexiga neurogênica, receptores de transplante e cateterismo vesical prolongado.

Os principais fatores de risco são diabetes mellitus (considerado principal fator de risco, presente em cerca de 50% dos casos), pacientes imunocomprometidos, bexiga neurogênica, receptores de transplante e cateterismo vesical prolongado.

Quadro clínico: Similar a cistite aguda não enfisematosa, cursando com febre, dor abdominal, hematúria e disúria.

    Exames de imagem:
  • Radiografia de abdome: Observamos aumento da transparência na parede vesical quando comparado ao restante do oco vesical, pela presença do gás;
  • Tomografia computadorizada do abdome: Exame mais sensível para avaliar a presença de gás intraluminal ou intramural (f igura acima).

Diagnósticos diferenciais: C istite aguda não enfisematosa, iatrogenia, lesões traumáticas, fístulas (enterovesical , vesicovaginal, colovesical e retovesical), corpo estranho.

Autoria principal: Elazir Mota (Radiologia, especialista em Radiologia Pediátrica).

Schicho A, Stroszczynski C, Wiggermann P. Emphysematous cystitis: mortality, risk factors, and pathogens of a rare disease. Clinics and Practice 2017;7(930):54-55.

Gheonea IA, Stoica Z, Bondari S (2012) Emphysematous Cystitis. Case report and imaging features. Current Health Sciences Journal Vol. 38, No. 4

Mokabberi R, Ravakhah K. Emphysematous urinary tract infections: diagnosis, treatment and survival (case review series). Am. J. Med. Sci. 2007;333(2):111-6.

Bobba RK, Arsura EL, Sarna PS et-al. Emphysematous cystitis: an unusual disease of the Genito-Urinary system suspected on imaging. Ann. Clin. Microbiol. Antimicrob. 2004;3:20.

David E. Grayson, Robert M. Abbott, Angela D. Levy, Paul M. Sherman (2002) Emphysematous Infections of the Abdomen and Pelvis: A Pictorial Review. Radiographics 22: 543-561.