Conteúdo copiado com sucesso!

Cisto Aracnoide

Voltar
Texto alternativo para a imagem
Texto alternativo para a imagem
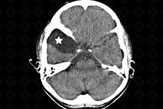
Texto alternativo para a imagem Créditos: Dra. Elazir Mota - Rio de Janeiro/RJ

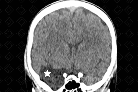
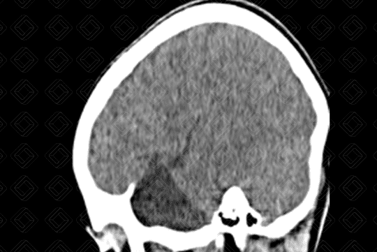
Descrição da lesão: Tomografia computadorizada do crânio. Lesão hipodensa, extra-axial, com densidade semelhante ao liquor, na fossa craniana média, deslocando o lobo temporal direito posteriormente (asterisco).

Cisto aracnoide: Caracteriza-se por uma expansão meníngea, em forma de bolsa, preenchida por líquido, com densidade semelhante ao liquor, mais comumente diagnosticada nas crianças e adultos jovens, sendo frequentemente um achado de imagem. Sua localização mais comum é na fossa craniana média (50-60% dos casos), mais especificamente na região temporal, adjacente à fissura sylviana. Outras localizações menos comuns são ângulo pontocerebelar e suprasselar (10% cada).

Quadro clínico: A maioria dos pacientes são assintomáticos. Os sintomas podem ocorrer naqueles pacientes com cistos maiores, por compressão direta, acarretando aumento da pressão intracraniana. Outros sintomas menos comumente relacionados aos cistos são cefaleia, espasmo hemifacial e neuralgia do trigêmeo.

    Exames de imagem:
  • Tomografia computadorizada do crânio: Lesão extra-axial, hipodensa, com densidade semelhante ao liquor e sem realce pelo meio de contraste. Pode ocorrer remodelamento ósseo da calota craniana adjacente à lesão, especialmente na população pediátrica;
  • Ressonância magnética do crânio: Na ressonância magnética do crânio o sinal também é semelhante ao liquor, com baixo sinal em T1 e alto sinal em T2, sem restrição à difusão ou realce pelo meio de contraste.

Diagnóstico diferencial: N a fossa posterior (pensar em outras causas de aumento do espaço liquórico retrocerebelar, como megacisterna magna, Dandy Walker), cisto dermoide, cisto leptomeníngeo, cisto neuroentérico e outros.

Autoria principal: Elazir Mota (Radiologia, especialista em Radiologia Pediátrica).

Jafrani R, Raskin JS, Kaufman A, et al. Intracranial arachnoid cysts: Pediatric neurosurgery update. Surg Neurol Int. 2019; 10:15.

Gelabert-González M, Fernández-Villa J, Cutrín-Prieto J, et al. Arachnoid cyst rupture with subdural hygroma: report of three cases and literature review. Childs Nerv Syst. 2002; 18(11):609-13.

Boutarbouch M, El Ouahabi A, Rifi L, et al. Management of intracranial arachnoid cysts: institutional experience with initial 32 cases and review of the literature. Clin Neurol Neurosurg. 2008; 110(1):1-7.

Tang L, Cianfoni A, Imbesi SG. Diffusion-weighted imaging distinguishes recurrent epidermoid neoplasm from postoperative arachnoid cyst in the lumbosacral spine. J Comput Assist Tomogr. 2006; 30(3):507-9.

Olaya JE, Ghostine M, Rowe M, et al. Endoscopic fenestration of a cerebellopontine angle arachnoid cyst resulting in complete recovery from sensorineural hearing loss and facial nerve palsy. J Neurosurg Pediatr. 2011; 7(2):157-60.