Conteúdo copiado com sucesso!

Cisto Broncogênico

Voltar
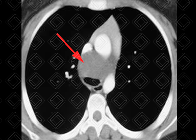
Texto alternativo para a imagem Figura 1. Créditos: Dra. Elazir Mota - Rio de Janeiro/RJ

Descrição da figura 1: Tomografia computadorizada do tórax (janela de mediastino). Lesão ovalada, hipodensa, com densidade cística, localizada no mediastino, próxima à carina, sem comunicação com a árvore traqueobrônquica, porém causando efeito compressivo da mesma.

Texto alternativo para a imagem Figura 2. Créditos: Dra. Elazir Mota - Rio de Janeiro/RJ
Texto alternativo para a imagem Figura 3. Créditos: Dra. Elazir Mota - Rio de Janeiro/RJ

Descrição das figuras 2 e 3: Ressonância magnética do tórax - imagens ponderadas em T2. Lesão cística localizada no mediastino médio com hipersinal em T2. Posteriormente, foi confirmado o diagnóstico de cisto de broncogênico (seta amarela).

Cisto broncogênico: F az parte do espectro dos cistos de duplicação intestinal que incluem, ainda, os cistos de duplicação esofágica e os neuroentéricos. São as lesões císticas mais comuns no mediastino. Eles, habitualmente, ocorrem no mediastino médio, próximo à carina, nas regiões paratraqueais e hilares em 65-90% dos casos. Podem, ainda, ocupar o parênquima pulmonar, pleura e diafragma. Quando localizados no parênquima pulmonar, ocorrem principalmente nos lobos inferiores.

Em geral, os cistos broncogênicos são achados incidentais e a diferenciação de outras condições patológicas é essencial.

Podem associar-se a outras anomalias congênitas, como hiperinsuflação pulmonar congênita, atresia brônquica e sequestro pulmonar, caracterizando as lesões como híbridas.

    Exames de imagem:
  • Ultrassonografia: Pode ser de grande valia durante o período pré-natal, detectando boa parte das malformações pulmonares congênitas no período intraútero;
  • Radiografia de tórax: Exame solicitado para avaliação inicial de recém-nascido com suspeita de malformação pulmonar congênita. No contexto do cisto broncogênico, pode ajudar muito pouco. Pode-se observar sinais indiretos de compressão da árvore traqueobrônquica, como hiperinsuflação pulmonar do lado acometido;
  • Tomografia computadorizada do tórax: Trata-se do exame de escolha diante da suspeita de malformações pulmonares congênitas . Vale lembrar que este estudo deve ser realizado sempre após a administração do contraste venoso. Especificamente, o cisto broncogênico apresenta-se como uma imagem hipodensa, com densidade de líquido (em torno de 0 a 20 UH), sem impregnação após o contraste venoso, localizado mais comumente no mediastino médio (figura 1);
  • Ressonância magnética do tórax: Não é o exame de escolha (exige sedação da criança e tem um alto custo), mas em casos duvidosos pode ajudar a esclarecer a imagem cística que irá apresentar alto sinal na sequência ponderada em T2 e sem realce pelo meio de contraste. A ressonância magnética apresenta um papel bem estabelecido como método auxiliar à ultrassonografia na avaliação das malformações pulmonares congênitas, no período fetal (figuras 2 e 3).

Diagnóstico diferencial: O principal é com cisto entérico (ou de duplicação esofágico). Auxilia na diferenciação entre ambos a sua localização: o cisto broncogênico, usualmente, ocorre na região subcarinal ou no espaço paratraqueal direito. Já o cisto entérico, usualmente, ocorre mais paravertebral, próximo ao esôfago.

Autoria principal: Elazir Mota (Radiologia, especialista em Radiologia Pediátrica).

Arce V, DJ. Hemitórax hiperlúcido unilateral: diagnóstico por imágenes. Rev. Chil. Enferm. Respir. 2012; 28(3):212-221.

Biyyam DR, Chapman T, Ferguson MR, et al. Congenital lung abnormalities: embryologic features, prenatal diagnosis, and postnatal radiologic-pathologic correlation. Radiographics. 2010; 30(6):1721-38.

Stanton M, Davenport M. Management of congenital lung lesions. Early Human Development. 2006; 82(5):289-295.

McAdams HP, Kirejczyk WM, Rosado-de-Christenson ML, et al. Bronchogenic Cyst: Imaging Features with Clinical and Histopathologic Correlation H. Radiology. 2000; 217(2):441-6.

Stocker JT. The respiratory tract. In: Stocker JT, Dehner LP, eds. Pediatric pathology. Vol 1. Philadelphia, Pa: Lippincott, 1992; 517-518.