Conteúdo copiado com sucesso!

Cisto Hepático

Voltar
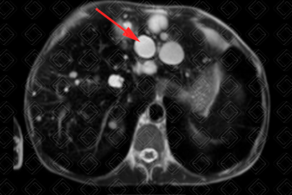
Texto alternativo para a imagem Figura 1. Créditos: Dra. Elazir Mota - Rio de Janeiro/RJ
Texto alternativo para a imagem Figura 2. Créditos: Dra. Elazir Mota - Rio de Janeiro/RJ

Descrição das figuras 1 e 2: Ressonância magnética. Imagens ponderadas em T2 (sequência HASTE), plano coronal e axial, evidenciando imagens com contornos lobulados e alto sinal em T2, algumas com septos internos, dispersos pelo parênquima hepático (setas vermelhas).

Cisto hepático: C istos hepáticos simples são lesões hepáticas comuns, benignas, ocorrendo em cerca de 2-7% da população. Apresentam discreto predomínio no sexo feminino, geralmente assintomáticos, podendo ser solitários ou múltiplos. Caso sejam encontrados mais de dez cistos hepáticos, a possibilidade de doença policística autossômica dominante deve ser considerada. A principal complicação é o sangramento.

Quadro clínico: U sualmente descobertos acidentalmente, sendo assintomáticos.

    Achados de imagem:
  • Ultrassonografia do abdome: Lesão anecoica, regular, de contornos bem definidos, com reforço acústico posterior, sem fluxo ao Doppler colorido;
  • Tomografia computadorizada do abdome com contraste venoso: Lesão hipodensa, com densidade líquida (densidade varia de 0-10 UH), com contornos regulares e sem impregnação após o estudo com contraste;
  • Ressonância magnética do abdome com contraste venoso: O cisto simples em geral é redondo, com sinal homogêneo, baixo em T1 e alto em T2. O contorno é regular e a parede imperceptível. Não há realce no estudo pós-contraste.
    Sempre observar a presença de septo ou não no interior do cisto hepático (caso exista septo, medir sua espessura e se há realce pós-contraste):
  • Septo com espessura inferior 2 mm ou sem impregnação: não acompanhar;
  • Septo com 2-5 mm ou impregnação perceptível: acompanhar o cisto no intervalo de 6/6 meses, por 2 anos;
  • Septo acima 5 mm ou impregnação mensurável: a critério clínico, correlação histopatológica do cisto.

Diagnósticos diferenciais: O s principais diagnósticos diferenciais ocorrem com as demais lesões císticas hepáticas, como cisto ciliado de duplicação, hamartoma biliar, doença hepática autossômica dominante e doença de Caroli. Não esquecer também das metástases hepáticas hipovasculares (podem ser facilmente confundidas com lesões císticas simples).

Autoria principal: Elazir Mota (Radiologia, especialista em Radiologia Pediátrica).

Mavilia MG, Pakala T, Molina M, et al. Differentiating Cystic Liver Lesions: A Review of Imaging Modalities, Diagnosis and Management. J Clin Transl Hepatol. 2018; 6(2):208-216.

Mortelé KJ, Ros PR. Cystic focal liver lesions in the adult: differential CT and MR imaging features. Radiographics. 2001; 21(4):895-910.

EversonGT, Taylor MR, Doctor RB. Polycystic disease of the liver. Hepatology. 2004; 40:774-782.

Sugawara Y, Yamamoto J, Yamasaki S, et al. Cystic liver metastases from colorectal cancer. J Surg Oncol. 2000; 74:148-152.