Conteúdo copiado com sucesso!

Cisto Ovariano

Voltar

Cistos ovarianos: A detecção por exames de imagem de uma lesão cística anexial sempre traz um pouco de ansiedade nas pacientes pelo eventual risco e a possibilidade de malignidade. Vamos abordar os principais métodos diagnósticos para sua detecção e como os cistos podem se apresentar nos exames de imagem.

    Exames de imagem:
  1. Ultrassonografia pelve feminina (transvaginal ou suprapúbica): Idealmente, para avaliação da região pélvica feminina, o exame deve ser realizado por esta via. Deve-se ter em mente que, nas pacientes virgens, o estudo deve ser realizado por via suprapúbica. No caso da avaliação por via transvaginal, a bexiga será esvaziada antes do exame. Já no estudo por via suprapúbica, a paciente precisa beber água e estar com a bexiga repleta (a água "ajuda" na transmissão sonora). Diante da avaliação ou acompanhamento de cistos ovarianos, a ultrassonografia é o primeiro exame a ser solicitado . As principais lesões císticas que serão descritas por aqui apresentam uma fácil identificação no ultrassonografia. O ultrassom apresenta boa acurácia na distinção de lesões císticas, sólidas ou mistas.
  2. Tomografia computadorizada do abdome e pelve: Não deve ser solicitada diante da suspeita diagnóstica de lesão anexial ou uterina. Seu papel é bem estabelecido no cenário de urgência/emergência quando a paciente chega com quadro de dor abdominal. Também é utilizada no estadiamento N e M de lesões malignas confirmadas.
  3. Ressonância magnética da pelve feminina: Diante da avaliação e detecção de lesões complexas ou muito volumosas ou com suspeição elevada para câncer na ultrassonografia pélvica, o próximo passo será a ressonância magnética para melhor avaliação e/ou estadiamento local do tumor.

Principais Lesões Císticas Ovarianas

Texto alternativo para a imagem Figura 1. Créditos: Dra. Elazir Mota - Rio de Janeiro/RJ


Texto alternativo para a imagem Figura 2. Créditos: Dra. Elazir Mota - Rio de Janeiro/RJ

Descrição das figuras 1 e 2: Paciente feminina, 34 anos. Ressonância magnética da pelve ponderada em T2 (planos coronal e axial), mostrando imagem hiperintensa, ovalada, sem septos ou nódulos no seu interior, no anexo direito, medindo 1,2 cm, compatível com cisto simples (seta vermelha).

Texto alternativo para a imagem Figura 3. Créditos: Dra. Elazir Mota - Rio de Janeiro/RJ
Texto alternativo para a imagem Figura 4. Créditos: Dra. Elazir Mota - Rio de Janeiro/RJ

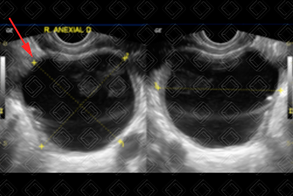
Descrição das figuras 3 e 4: Paciente do sexo feminino, 19 anos. Ultrassonografia da pelve feminina, estudo suprapúbico, evidenciando formação ovalada, anecoica, medindo 3,0 cm, no ovário esquerdo, devendo representar cisto funcional (seta vermelha).

    Cistos simples (figuras 1, 2, 3 e 4): Se apresentam na ultrassonografia pélvica como lesões anecoicas, com reforço acústico posterior, unilocular, sem septos ou componentes sólidos no seu interior e não vascularizadas. A maioria dessas lesões é de cistos funcionais e ocorre na pré-menopausa. No entanto, vale a pena lembrar que, apesar de raras, essas lesões também podem ocorrer na pós-menopausa. Diante de uma lesão ovariana cística simples, o acompanhamento é sugerido baseado nas suas dimensões.
  • Lesões císticas simples ovarianas na idade fértil:
    • Lesões com menos de 3 cm: Não é necessário descrever, o achado habitual e não é necessário acompanhamento;
    • Lesões entre 3-5 cm: Mencionar no relatório. Não é necessário acompanhamento;
    • Lesões entre 5-7 cm: Acompanhar por ultrassonografia até resolução da lesão;
    • Lesões maiores de 7 cm: Realizar ressonância magnética da pelve e/ou cirurgia;
  • Lesões císticas simples no período pós-menopausa:
    • Lesões inferiores 2 cm: Não é necessário mencionar no relatório e nem realizar acompanhamento;
    • Lesões entre 2-7 cm: Acompanhamento precoce por ultrassonografia;
    • Lesões maiores de 7 cm: Realizar ressonância magnética da pelve e/ ou cirurgia.
Texto alternativo para a imagem Figura 5. Créditos: Dra. Elazir Mota - Rio de Janeiro/RJ
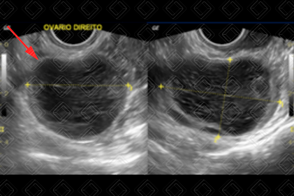
Texto alternativo para a imagem Figura 6. Créditos: Dra. Elazir Mota - Rio de Janeiro/RJ

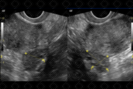
Descrição das figuras 5 e 6: Paciente de 46 anos, feminina. Ultrassonografia da pelve, estudo transvaginal, evidenciando ovário direito com dimensões muito aumentadas, as custas de formação heterogênea, predominantemente hipoecoica, contendo septos e debris no seu interior (seta vermelha). Foi orientada acompanhamento em 2-3 meses, com novo ultrassom e a lesão regrediu, sugerindo a possibilidade de cisto hemorrágico (vale ressaltar que a diferenciação entre cisto hemorrágico e endometrioma muitas vezes pode ser bem difícil no estudo de imagem).

Cisto hemorrágico ovariano (figuras 5 e 6): Na ultrassonografia, se apresenta como lesão heterogênea, predominantemente cística, contendo septos e/ou debris no seu interior. O acompanhamento é necessário e recomendado nas pacientes em idade fértil com lesões acima de 5 cm (controle em 6-12 meses: a lesão tem que regredir). Pacientes na pós-menopausa com lesões acima de 5 cm: complementar com ressonância magnética e/ou cirurgia.

Texto alternativo para a imagem Figura 7. Créditos: Dra. Elazir Mota - Rio de Janeiro/RJ
Texto alternativo para a imagem Figura 8. Créditos: Dra. Elazir Mota - Rio de Janeiro/RJ
Texto alternativo para a imagem Figura 9. Créditos: Dra. Elazir Mota - Rio de Janeiro/RJ

Descrição das figuras 7, 8 e 9: Paciente de 35 anos, feminina. Ultrassonografia da pelve, estudo via transvaginal, evidenciando lesão hipoecoica, com ecos internos em suspensão e discretos nódulos hiperecogênicos parietais, sem fluxo ao Doppler colorido, sugerindo endometrioma (seta vermelha); lesão foi ressecada e seu diagnóstico confirmado.

Endometrioma (figuras 7, 8 e 9): Na ultrassonografia, são lesões císticas hipoecoicas, habitualmente homogêneas, com finos ecos internos e pequenos focos ecogênicos parietais (vale ressaltar que não deve haver vascularização nestes pequenos nódulos).

Teratoma cístico ovariano: Para mais informações, acesse Teratoma ovariano.

Corpo-lúteo: É frequente no primeiro trimestre da gravidez. Pode ser visualizado também durante a segunda fase do ciclo menstrual em pacientes não gestantes. Na ultrassonografia pélvica, observamos formação cística, com conteúdo heterogêneo, com ecos ecogênicos no seu interior e com halo de vascularização característico ao Doppler colorido em torno da lesão ("anel de fogo").

Autoria principal: Elazir Mota (Radiologia, especialista em Radiologia Pediátrica).

Levine D, Brown DL, Andreotti RF, et al. Management of Asymptomatic Ovarian and Other Adnexal Cysts Imaged at US Society of Radiologists in Ultrasound Consensus Conference Statement. Ultrasound Q. 2010; 26(3):121-31.

Foti PV, Attinà G, Spadola S, et al. MR imaging of ovarian masses: classification and differential diagnosis. Insights into imaging. 2016; 7(1):21-41.

Lalwani N, Prasad SR, Vikram R, et al. Histologic, molecular, and cytogenetic features of ovarian cancers: implications for diagnosis and treatment. Radiographics. 2011; 31(3):625-46.

Brown DL, Dudiak KM, Laing FC. Adnexal Masses: US Characterization and Reporting. Radiology. 2010; 254(2):342-54.

Jeong YY, Outwater EK, Kang HK. Imaging evaluation of ovarian masses. Radiographics. 2000; 20(5):1445-70.

Thomassin-Naggara I, Daraï E, Cuenod CA, Fournier L, Toussaint I, Marsault C, et al. Contribution of diffusion-weighted MR imaging for predicting benignity of complex adnexal masses. Eur Radiol. 2009; 19(6):1544-52.