Conteúdo copiado com sucesso!

Cisto de Duplicação Intestinal

Voltar
Texto alternativo para a imagem Figura 1. Créditos: Dra. Elazir Mota - Rio de Janeiro/RJ

Descrição da figura 1: Ultrassonografia de abdome. Paciente do sexo feminino, 4 anos, com queixa de dor abdominal e vômitos. Presença de imagem cística (C), adjacente ao duodeno e lobo direito hepático, sem evidente comunicação com duodeno, exercendo somente efeito compressivo.

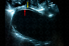
Texto alternativo para a imagem Figura 2. Créditos: Dra. Elazir Mota - Rio de Janeiro/RJ

Descrição da figura 2: Ultrassonografia de abdome da mesma paciente com uso de sonda linear de alta frequência, evidenciando a característica patognomônica de imagem: "parede dupla" ( double wall sign ) (parede mucosa hiperecogênica – seta vermelha – e camada muscular hipoecoica – seta amarela).

Cisto de duplicação intestinal: Trata-se de uma anomalia congênita rara que pode ocorrer em qualquer local do trato gastrointestinal (desde a boca até o ânus). Suas localizações mais comuns são íleo terminal, seguidos por esôfago, cólon, jejuno, estômago e duodeno.

    Existem basicamente duas variantes:
  • Os cistos de duplicação propriamente ditos (que correspondem a 80% dos casos, são esféricos e não se comunicam com a luz intestinal);
  • Os cistos tubulares (que respondem por 20% dos casos e se comunicam com a luz intestinal).

Quadro clínico: A maioria dos cistos de duplicação aparecem ao redor do primeiro ano de vida, podendo em alguns casos ser assintomáticos ou ter sinais e sintomas obstrutivos, por vezes com presença de massa abdominal palpável. Melena ou enterorragia são raras, já que a maioria dos cistos não se comunicam com a luz intestinal.

    Exames de imagem:
  • Ultrassonografia de abdome: Por tratar-se de uma doença com pico de incidência na infância, o exame de escolha será a ultrassonografia, por conta de seu baixo custo, acessibilidade e livre de radiação ionizante. Na imagem, o cisto de duplicação apresenta uma característica patognomônica: double wall sign , com sua parede interna hiperecogênica (representando mucosa/ submucosa) e parede externa hipoecoica (muscular) (f iguras 1 e 2);
  • Tomografia computadorizada do abdome: Não é usado para esse tipo de avaliação, por conta da radiação ionizante. 99% das patologias abdominais pediátricas são esclarecidas e diagnosticadas com a ultrassonografia;
  • Ressonância magnética do abdome: As lesões apresentam hipersinal em T2 e hipossinal em T1. Caso haja sangramento no seu interior, as lesões apresentarão sinal elevado em T1 nas sequências com e sem saturação de gordura.

Diagnósticos diferenciais: C isto mesentérico (linfangioma abdominal), torção ovariana, outras lesões císticas ovarianas , pseudocisto pancreático.

Autoria principal: Elazir Mota (Radiologia, especialista em Radiologia Pediátrica).

Di Serafino M, Mercogliano C, Vallone G. Ultrasound evaluation of the enteric duplication cyst: the gut signature. J Ultrasound. 2015; 19(2):131-133.

Liu R, Adler DG. Duplication cysts: Diagnosis, management, and the role of endoscopic ultrasound. Endosc Ultrasound. 2014; 3(3):152-60.

Strouse P. Sonographic evaluation of the child with lower abdominal or pelvic pain. Radiol Clin N Am. 2006; 44(6):911-923.

Cheng G, Soboleski D, Daneman A, et al. Sonographic Pitfalls in the Diagnosis of Enteric Duplication Cysts. American Journal of Roentgenology. 2005; 184(2):521-525.

Berrocal T, Torres I, Gutiérrez J, et al. Congenital anomalies of the upper gastrointestinal tract. Radiographics. 1999; 19(4):855-72.