Conteúdo copiado com sucesso!

Cisto de Retenção

Voltar
Texto alternativo para a imagem Figura 1. Créditos: Dra. Elazir Mota - Rio de Janeiro/RJ

Descrição da figura 1: Tomografia computadorizada da face com reconstrução coronal, em que se observa imagem lobulada, com densidade cística, no assoalho do seio maxilar direito (seta vermelha).

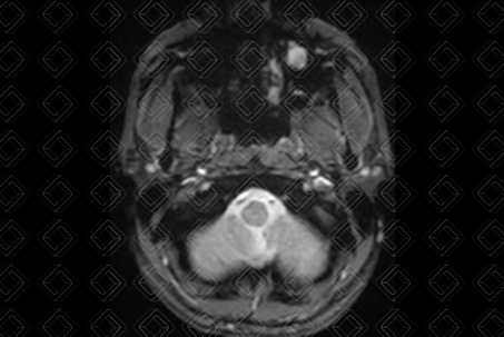
Texto alternativo para a imagem Figura 2. Créditos: Dra. Elazir Mota - Rio de Janeiro/RJ
Texto alternativo para a imagem Figura 3. Créditos: Dra. Elazir Mota - Rio de Janeiro/RJ

Descrição das figuras 2 e 3: Ressonância magnética da face, imagens ponderadas em T2, reconstruções axial e coronal, evidenciando imagem no assoalho do seio maxilar esquerdo, com sinal elevado em T2 (seta amarela).

Cisto de retenção: Lesões benignas geralmente descobertas incidentalmente nos exames de imagem (tomografia computadorizada ou radiografia dos seios paranasais). Usualmente não causam sintomatologia.

Os cistos de retenção são protuberâncias únicas ou múltiplas, hemisféricas, de tamanhos variados e que usualmente podem crescer. Eles ocorrem devido à retenção de muco a partir das glândulas mucosas do epitélio de revestimento dos seios.

Quadro clínico: N a maioria dos casos é assintomático e descoberto acidentalmente. No entanto, pode causar sintomatologia com cefaleia e quadro de obstrução nasal.

    Exames de imagem:
  • Radiografia de seios da face: Imagem arredondada ou ovalada, em geral de contornos lobulados, localizada nos seios maxilares;
  • Tomografia computadorizada dos seios da face (figura 1): Imagem ovalada ou arredondada, de contornos lobulados, com densidade cística na tomografia (densidade variando de 0-20UH);
  • Ressonância magnética da face (figuras 2 e 3): Imagem também de contornos lobulados, com sinal variável nas imagens ponderadas em T1 (depende do conteúdo proteico) e alto sinal em T2 .

Diagnósticos diferenciais: P ólipo nasosinusal e mucocele dos seios paranasais.

Autoria principal: Elazir Mota (Radiologia, especialista em Radiologia Pediátrica).

Cashman EC, Macmahon PJ, Smyth D. Computed tomography scans of paranasal sinuses before functional endoscopic sinus surgery. World J Radiol. 2011; 3:199–20.

Wang JH, Jang YJ, Lee BJ. Natural course of retention cysts of the maxillary sinus: long-term follow-up results. Laryngoscope. 2007; 117(2):341-4.

Bulgarelli AF, Silva ABM, Paulino SM. Cisto de retenção do seio maxilar. Rev Assoc Paul Cir Dent. 2002; 56(3):178-81.

Hadar T, Shvero J, Nageris BI, Yaniv E. Mucus retention cyst of the maxillary sinus: the endoscopic approach. Br J Oral Maxillofac Surg. 2000; 38:227–9.

Donizeth-Rodrigues C, Fonseca-Da Silveira M, Gonçalves-De Alencar AH, et al. Three-dimensional images contribute to the diagnosis of mucous retention cyst in maxillary sinus. Med Oral Patol Oral Cir Bucal. 2013; 18(1):e151-7.