Conteúdo copiado com sucesso!

Cistos Renais

Voltar
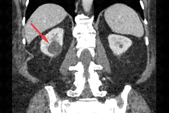
Texto alternativo para a imagem Figura 1. Créditos: Dra. Elazir Mota - Rio de Janeiro/RJ

Descrição da figura 1: Presença de imagem hipodensa no terço médio do rim direito, sem septações ou conteúdo sólido no seu interior, compatível com cisto simples - Bosniak I (seta vermelha).

Texto alternativo para a imagem Figura 2. Créditos : Dra. Elazir Mota - Rio de Janeiro/RJ

Descrição da figura 2: Presença de diminuta lesão espontaneamente densa, no pólo inferior do rim esquerdo, compatível com cisto - Bosniak II (seta vermelha).

Texto alternativo para a imagem Figura 3. Créditos: Dra. Elazir Mota - Rio de Janeiro/RJ

Descrição da figura 3: Ultrassonografia do abdome total. Imagem anecoica, com discretas calcificações periféricas e sem fluxo ao Doppler colorido, compatível com cisto renal direito (seta vermelha).

    Cistos renais: N ome genérico dado a qualquer lesão renal de origem cística. A maioria das lesões císticas são benignas, no entanto, o carcinoma de células renais algumas vezes pode se apresentar como lesão cística. Classificação de Bosniak:
  • I: Cisto simples (sem calcificação, septo ou componente sólido). Densidade cística na tomografia sem realce;
  • II: Fino septo (sem realce pelo contraste) ou calcificação (pequena calcificação presente no septo ou parede do cisto) ou lesões espontaneamente densas (conteúdo hemático), em lesões menores que 3 cm, que são bem definidas e sem realce;
  • III: Realce pós-contraste mensurável (espessamento irregular parietal ou septal, no qual realce mensurável é detectado);
  • IV: Realce de componentes com densidade de partes moles (contém o tipo III e, além disso, há lesão sólida com realce).

Quadro clínico: Na maioria dos casos, pacientes são assintomáticos e os cistos renais costumam ser achados incidentais nos exames de imagem, realizados por outras queixas e como rotina.

    Exames de imagem:
  • Ultrassonografia do aparelho urinário ou abdome total: Apresentam-se como lesões anecoicas, podendo ou não ter septos internos ou conteúdo sólido, a depender da classificação Bosniak descrita acima;
  • Tomografia computadorizada do abdome: O estudo deve ser realizado antes e após a administração do contraste (contraste iodado) para confirmar se é, de fato, uma lesão cística e classificá-la adequadamente de acordo com o Bosniak;
  • Ressonância magnética do abdome: Também trata-se de excelente exame para avaliação do cisto renal, com vantagem de ser livre de radiação ionizante. Também deve ser realizado e analisado após a administração do contraste venoso (gadolínio).

Diagnósticos diferenciais: Na população adulta e idosa, o principal diagnóstico diferencial é com carcinoma de células renais.

Autoria principal: Elazir Mota (Radiologia, especialista em Radiologia Pediátrica).

Hartman DS, Choyke PL, Hartman MS. From the RSNA Refresher Courses: A Practical Approach to the Cystic Renal Mass. Radiographics. 2004; 24(Suppl 1):S101-15.

Israel GM, Bosniak MA. How I Do It: Evaluating Renal Masses. Radiology 2005; 236:441-450.

Hélénon O, Crosnier A, Verkarre V, et al. Simple and Complex Renal Cysts in Adults: Classification System for Renal Cystic Masses. Diagn Interv Imaging. 2018; 99(4):189-218

Silverman S, Pedrosa I, Ellis J, et al. Bosniak Classification of Cystic Renal Masses, Version 2019: An Update Proposal and Needs Assessment. Radiology. 2019; 292(2):475-88.