Conteúdo copiado com sucesso!

Classificação de Schatzker

Voltar
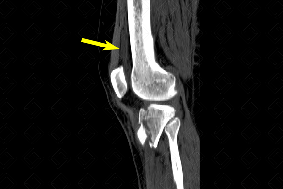
Texto alternativo para a imagem Figura 1. Créditos: Dra. Elazir Mota - Rio de Janeiro/RJ

Descrição da f igura 1: Tomografia computadorizada do joelho esquerdo, janela óssea (esquerda) e de partes moles (direita) evidenciando fratura do platô tibial lateral, com evidente cisalhamento (seta vermelha) e depressão (seta azul), compatível com tipo II , pela classificação de Schatzker. Observe, na janela de partes, o moderado derrame articular na bursa suprapatelar (seta amarela). [cms-watermark]

Texto alternativo para a imagem Figura 2. Créditos: Dra. Elazir Mota - Rio de Janeiro/RJ
Texto alternativo para a imagem Figura 3. Créditos: Dra. Elazir Mota - Rio de Janeiro/RJ

Descrição das f iguras 2 e 3: Tomografia computadorizada do joelho direito. Fratura do platô tibial bicondiliana (ou seja, envolve os dois côndilos tibiais - setas vermelhas), Schatzker tipo V . [cms-watermark]

Classificação de Schatzker: Trata-se de um sistema de classificação das fraturas do planalto tibial.

    Tipos - Classificação de Schatzker:
  • Tipo I: Cisalhamento do planalto lateral;
  • Tipo II: Depressão com cisalhamento do planalto lateral;
  • Tipo III: Depressão do planalto lateral;
  • Tipo IV: Fraturas do planalto medial. Representa uma padrão de fratura-luxação;
  • Tipo V: Fratura articular total bicondiliana;
  • Tipo VI: Fratura articular total com extensão metadiafisária.

Diante da presença de lipo-hemartrose (representação radiológica da presença de derrame articular devido a diferença de densidade entre gordura e sangue) nas radiografias simples de joelho, devemos suspeitar de fratura do platô tibial. Caso a estrutura óssea no RX seja inocente, deve-se prosseguir investigação com tomografia computadorizada do joelho.

Autoria principal: Elazir Mota (Radiologia, especialista em Radiologia Pediátrica).

Revisão: Raphael Erthal de Paula (Ortopedia, Traumatologia e Cirurgia do Joelho).

Kode L, Lieberman JM, Motta AO, et al. Evaluation of tibial plateau fractures: efficacy of MR imaging compared with CT. AJR Am J Roentgenol. 1994; 163(1):141-7.

Mustonen AO, Koivikko MP, Kiuru MJ, et al. Postoperative MDCT of tibial plateau fractures. AJR Am J Roentgenol. 2009; 193(5):1354-60.

Canale ST, Beaty JH, Azar FM. Campbell's operative orthopaedics. 13 a ed. Philadelphia: Saunders, 2017.

Sizínio Hebert; Renato Xavier; Arlindo Gomes Pardini Jr; Tarcísio E P de Barros Filho; et al, Ortopedia e traumatologia : princípios e prática, 5 a ed. Artmed, 2017

Tornetta P, et al. Rockwood & Green Fractures in Adults. 9th edition. Lippincott: Williams & Wilkins, 2019.

Meinberg EG, Agel J, Roberts CS, Karam MD, Kellam JF. Fracture and Dislocation Classification Compendium - 2018. J Orthop Trauma. 2018; 32: S1.