Conteúdo copiado com sucesso!

Coalizão Tarsal

Voltar
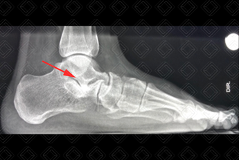
Texto alternativo para a imagem Créditos: Dra. Elazir Mota - Rio de Janeiro/RJ

Descrição da figura: Radiografia de pé direito perfil. O diagnóstico, neste caso, é de coalizão talocalcâneo direito. Há evidente fusão com importante esclerose do tálus e calcâneo direito (seta vermelha).

Coalizão tarsal: Definida por uma fusão anormal entre dois ou mais ossos do tarso e pode ser fibrosa, cartilaginosa ou óssea. Os principais tipos de coalizão são talocalcâneo e calcâneonavicular. As coalizões devem ter seu diagnóstico realizado pois são causa de redução da mobilidade do pé, dor e pé cavo.

Os principais tipos de coalizão são a calcâneo-navicular (45%) e a talo-calcânea.

Quadro clínico: A dor pode ser sentida em um ou mais locais, incluindo o local da coalizão, a articulação do tornozelo, as articulações da Chopart (talonavicular e calcaneocuboide), o seio tarso e medialmente sob a cabeça do tálus com o pé fletido para baixo.

    Exames de imagem:
  • Radiografia do pé: Primeiro exame a ser solicitado. No entanto, em alguns casos, o diagnóstico de coalizão pode ser difícil por esse método, podendo ser solicitados outros métodos, como tomografia computadorizada ou ressonância magnética;
  • Tomografia computadorizada do pé ou pés: Permite melhor visualização da fusão e, também, permite avaliar esse tipo de alteração em outras articulações tarsais, alterações degenerativas secundárias e complicações, como fraturas (figura acima);
  • Ressonância magnética do pé ou pés: A uxilia no diferencial entre coalizão óssea, cartilaginosa e fibrosa.

Diagnósticos diferenciais: O principal diagnóstico diferencial são entre os tipos de coalizão. A coalizão calcâneo-navicular usualmente envolvendo o processo anterior do calcâneo (nariz de tamanduá no estudo em perfil). A coalizão talo-calcânea cursa com sinal do C e bico talar.

Autoria principal: Elazir Mota (Radiologia, especialista em Radiologia Pediátrica).

Lim S, Lee HK, Bae S, et al. A radiological classification system for talocalcaneal coalition based on a multi-planar imaging study using CT and MRI. Insights Imaging. 2013; 4(5):563-567.

Barrett SE, Johnson JE. Progressive bilateral cavovarus deformity: an unusual presentation of calcaneonavicular tarsal coalition. Am J Orthop (Belle Mead NJ). 2004; 33(5):239-242.

Varner KE, Michelson JD. Tarsal coalition in adults. Foot Ankle Int. 2000; 21(8):669-672.

Oestreich AE, Mize WA, Crawford AH, et al. The "anteater nose": a direct sign of calcaneonavicular coalition on the lateral radiograph. J Pediatr Orthop. 1987; 7(6):709-11.