Conteúdo copiado com sucesso!

Colecistite Aguda

Voltar
Texto alternativo para a imagem
Texto alternativo para a imagem
Texto alternativo para a imagem Créditos: Dra. Elazir Mota - Rio de Janeiro/RJ

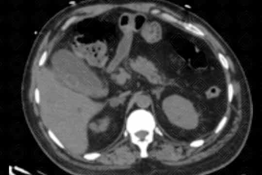
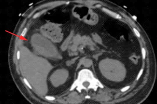
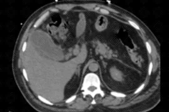
Descrição das figuras: Tomografia computadorizada de abdome com contraste venoso. Vesícula biliar contendo cálculo no seu interior, distendida, com espessamento parietal e densificação dos planos adiposos perivesiculares. Achados compatíveis com colecistite aguda.

Texto alternativo para a imagem
Texto alternativo para a imagem Créditos: Dra. Elazir Mota - Rio de Janeiro/RJ

Descrição das figuras: Ultrassonografia de abdome. Vesícula biliar pouco distendida, com importante espessamento parietal, de aspecto estratificado e com aumento de fluxo ao Doppler colorido. Ausência de cálculos. Os achados podem representar colecistite alitiásica.

Colecistite aguda: Refere-se à inflamação aguda da vesícula biliar, podendo ser calculosa ou acalculosa.

Quadro clínico: P aciente apresenta dor intensa no hipocôndrio direito. Frequentemente há relato associado de náuseas, vômitos e febre.

    Exames de imagem: L embrando que, diante da suspeita de doença das vias biliares, os exames de escolha são ultrassonografia de abdome ou ressonância magnética (colangiorressonância). O paciente deve estar em jejum de cerca de 3-4 horas.
  • Ultrassonografia de abdome: A presença de cálculos na vesícula biliar (colelitíase ) associado a sinal de Murphy ultrassonográfico positivo praticamente define o diagnóstico de colecistite aguda;
  • Tomografia computadorizada do abdome : Menos sensível quando comparado à ultrassonografia. Em alguns casos pode não visualizar o cálculo biliar. No entanto é excelente para a avaliação da inflamação perivesicular adjacente;
  • Colangiorressonância: Excelente exame para diagnóstico de colecistite aguda.

Diagnósticos diferenciais: Coledocolitíase , pancreatite aguda , úlcera péptica, hepatite aguda, abscesso hepático e outros.

Autoria principal: Elazir Mota (Radiologia, especialista em Radiologia Pediátrica).

Shaffer EA. Gallstone disease: Epidemiology of gallbladder stone disease. Best Pract Res Clin Gastroenterol. 2006; 20(6):981-96.

Hanbidge AE, Buckler PM, O'malley ME, et al. From the RSNA refresher courses: imaging evaluation for acute pain in the right upper quadrant. Radiographics. 2004; 24(4):1117-35.

Smith EA, Dillman JR, Elsayes KM, et al. Cross-sectional imaging of acute and chronic gallbladder inflammatory disease. AJR Am J Roentgenol. 2009; 192(1):188-96.

An C, Park S, Ko S, et al. Usefulness of the tensile gallbladder fundus sign in the diagnosis of early acute cholecystitis. AJR Am J Roentgenol. 2013; 201(2):340-6.