Conteúdo copiado com sucesso!

Complicações da Otomastoidite

Voltar
Texto alternativo para a imagem Figura 1. Créditos: Dra. Elazir Mota - Rio de Janeiro/RJ

Descrição da figura 1: Preenchimento da cavidade timpânica antromastoidea e células mastoideas à direita por conteúdo com densidade de partes moles, o qual determina erosões dos septos ósseos, observando-se ainda esclerose das limitantes restantes e ampla solução de continuidade da parede posterior (seta vermelha), com comunicação da orelha média com a fossa craniana média direita a nível do seio sigmoide. Observe a mastoide esquerda com aeração normal e sem a solução de continuidade posterior (seta verde).

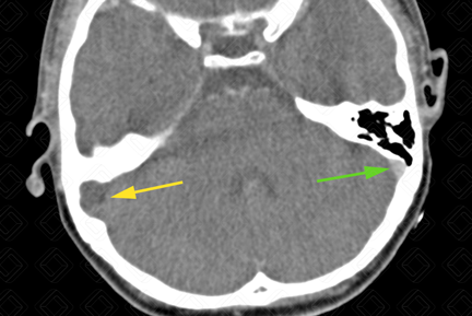
Texto alternativo para a imagem Figura 2. Créditos: Dra. Elazir Mota - Rio de Janeiro/RJ

Descrição da figura 2: Essa solução de continuidade posterior determina trombose do seio sigmoideo direito (seta amarela). Observe o seio sigmoideo esquerdo bem opacificado (seta verde).

Descrição geral das imagens: Complicação de otite média crônica com mastoidite e evolução para trombose de seio venoso (figuras 1 e 2).

Complicações da otomastoidite: M astoidite aguda, usualmente, é uma grave complicação da otite média aguda. O processo infeccioso nas células mastoideas pode se estender para a dura-máter, causar erosões ósseas e tromboflebites, causando sérias e graves complicações.

    As complicações podem se divididas por compartimentos:
  • Intratemporal ou cervical: Mastoidite coalescente, abscesso subperiosteal, abscesso de Bezold, abscesso perisinusal, petrosite ou apicite petrosa, labirintite, paralisia do nervo facial;
  • Intracraniana: Abscesso epidural, tromboflebite de seio dural, coleção subdural, envolvimento da artéria carótida. Mias raras, como meningite, encefalite e abscessos intraparenquimasos.

Autoria principal: Elazir Mota (Radiologia, especialista em Radiologia Pediátrica).

Saat R, Kurdo G, Brandstack N, et al. A New Classification System is Helpful in Diagnosing Intracranial Complications of Acute Mastoiditis in CT. Clin Neuroradiol. 2018; 28(4):523-528.

Platzek I, Kitzler HH, Gudziol V, et al. Magnetic resonance imaging in acute mastoiditis. Acta Radiol Short Rep. 2014; 3(2):2047981614523415.

Vazquez E, Castellote A, Piqueras J, et al. Imaging of complications of acute mastoiditis in children. Radiographics. 2003; 23(2):359-72.