Conteúdo copiado com sucesso!

Coronavírus (Covid-19) - Atlas

Voltar
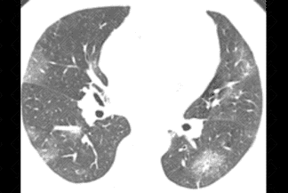
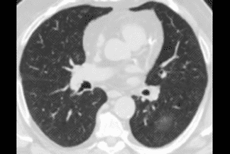
Texto alternativo para a imagem Figura 1. Créditos: Dra. Elazir Mota - Rio de Janeiro/RJ
Texto alternativo para a imagem Figura 2. Créditos: Dra. Elazir Mota - Rio de Janeiro/RJ
Texto alternativo para a imagem Figura 3. Créditos: Dra. Elazir Mota - Rio de Janeiro/RJ

Descrição das figuras 1, 2 e 3: Tomografia computadorizada de tórax no momento da admissão. Esparsas opacidades em vidro fosco bilaterais, com envolvimento de mais de um lobo pulmonar e com distribuição predominantemente periférica. Em associação às áreas em vidro fosco, pode ocorrer ainda espessamento dos septos interlobulares, caracterizando o padrão de pavimentação em mosaico.

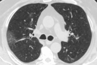
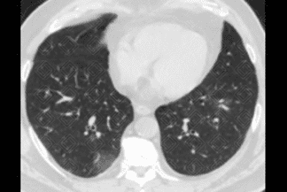
Texto alternativo para a imagem Figura 4. Créditos: Dra. Elazir Mota - Rio de Janeiro/RJ
Texto alternativo para a imagem Figura 5. Créditos: Dra. Elazir Mota - Rio de Janeiro/RJ
Texto alternativo para a imagem Figura 6. Créditos: Dra. Elazir Mota - Rio de Janeiro/RJ
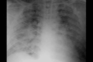
Texto alternativo para a imagem Figura 7. Créditos: Dra. Elazir Mota - Rio de Janeiro/RJ

Descrição das figuras 4, 5, 6 e 7: Radiografia e nova tomografia de tórax, realizadas 4 dias após admissão, evidenciando piora dos achados pulmonares. Importante aumento das opacidades em vidro fosco periféricas.

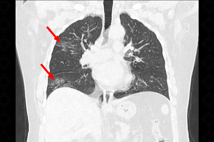
Texto alternativo para a imagem Figura 8. Créditos: Athena Hub/Medical Harbour

Descrição da figura 8: Tomografia computadorizada do tórax, plano coronal, de outro paciente evidenciando opacidades em vidro fosco periféricas (setas vermelhas), com acometimento pulmonar estimado inferior a 25% do parênquima pulmonar.

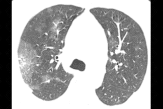
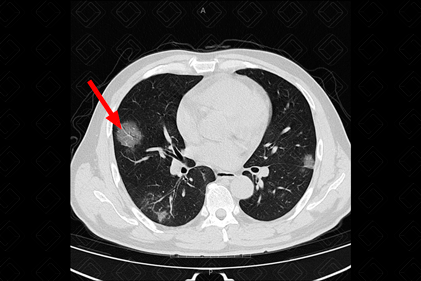
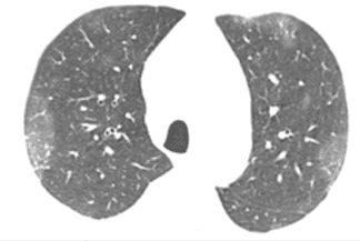
Texto alternativo para a imagem Figura 9. Créditos: Athena Hub/Medical Harbour
Texto alternativo para a imagem Figura 10. Créditos: Athena Hub/Medical Harbour

Descrição das figuras 9 e 10: Tomografia de tórax evidenciando opacidades em vidro fosco arredondadas, predominando na periferia dos pulmões, com acometimento estimado em 25% (setas vermelhas).

Coronavírus: A Covid-19, doença causada por um novo coronavírus (SARS-CoV-2), é uma pandemia que tem causado grandes impactos no setor de saúde.

Quadro clínico: A apresentação clínica do coronavírus pode ser inespecífica, com sintomas comuns a outros quadros gripais. A maioria dos casos de Covid-19 (cerca de 80%) é leve, com sintomas mais brandos, sem evidência de pneumonia viral e hipoxia; 15% dos pacientes evoluem com formas moderadas, com sinais clínicos de pneumonia (febre, tosse, dispneia, taquipneia); e 5% dos pacientes apresentam formas graves da doença, com sinais clínicos de pneumonia (febre, tosse, dispneia, taquipneia), além de pelo menos um dos seguintes achados: saturação de O2 no sangue periférico < 90% em ar ambiente, frequência respiratória > 30 respirações/minuto ou distúrbio respiratório grave.

A maior parte das sociedades médicas não recomenda o uso de métodos de imagem para rastreamento de pacientes com suspeita clínica de Covid-19. O Colégio Americano de Radiologia indica a tomografia computadorizada de tórax apenas para pacientes sintomáticos hospitalizados e a radiografia de tórax portátil em casos específicos, como pacientes internados que precisam de acompanhamento por imagem. Reforçam que uma TC de tórax normal não exclui o diagnóstico de COVID-19 e que um exame alterado não confirma a suspeita clínica.

    Exames de imagem:
  • Radiografia de tórax:
    • Opacidade e/ou consolidações bilaterais, acometendo grande parte dos lobos pulmonares, com predomínio na periferia dos pulmões;
    • Achados poucos específicos e de difícil caracterização na radiografia convencional.
  • Tomografia computadorizada de tórax (em ordem decrescente):
    • Opacidades em vidro fosco, bilaterais, acometendo a maioria dos lobos pulmonares (acometimento multilobar), assimétricas e com predomínio na periferia dos pulmões;
    • Em associação às áreas em vidro fosco, pode coexistir o espessamento dos septos interlobulares, caracterizando o padrão de pavimentação em mosaico;
    • Diante da evolução desfavorável, pode ocorrer aumento das opacidades em vidro fosco, com surgimento de áreas de consolidação;
    • Achados raros: derrame pleural ou pericárdico, linfonodomegalias, cavitações e pneumotórax (no entanto, podem surgir diante de evolução desfavorável).

Interessante acrescentar que a tomografia computadorizada do tórax tem se mostrado um bom método para estimar extensão de doença . Grosseiramente, estimamos em acometimento inferior a 25% , entre 25-50% e superior a 50% .

Diagnósticos diferenciais: D iversas condições podem apresentar padrão em vidro fosco e deste modo, a lista de diagnósticos diferenciais possíveis é extensa: influenza, outras pneumonias virais, hemorragia pulmonar, edema pulmonar cardiogênico ou não, infecções oportunistas (como pneumocistose), adenocarcinoma e outros.

Autoria principal: Elazir Mota (Radiologia, especialista em Radiologia Pediátrica).

Salehi S, Abedi A, Balakrishnan S, et al. Coronavirus Disease 2019 (COVID-19): A Systematic Review of Imaging Findings in 919 Patients. AJR Am J Roentgenol. 2020; 215(1):87-93.

Pan Y, Guan H, Zhou S, et al. Initial CT findings and temporal changes in patients with the novel coronavirus pneumonia (2019-nCoV): a study of 63 patients in Wuhan, China. Eur Radiol. 2020; 30(6):3306-3309.

Zhu T, Wang Y, Zhou S, et al. A comparative study of chest computed tomography features in young and older adults with corona virus disease (COVID-19). J Thorac Imaging. 2020; 35:W97-W101.

Bernheim A, Mei X, Huang M, et al. Chest CT findings in coronavirus disease-19 (COVID-19): relationship to duration of infection. Radiology. 2020; 295:200463.

COVID-19: uma breve atualização para radiologistas. Radiol Bras. 2020; 53(5).