Conteúdo copiado com sucesso!

Craniofaringioma

Voltar
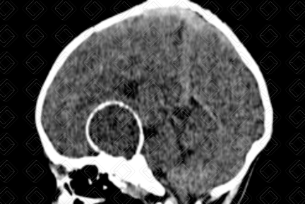
Texto alternativo para a imagem
Texto alternativo para a imagem Figuras 1 e 2. Créditos: Dra. Elazir Mota - Rio de Janeiro/RJ

Descrição das figuras 1 e 2: Tomografia computadorizada de crânio evidenciando lesão selar e suprasselar predominantemente heterogênea, predominantemente hipodensa, com calcificação parietal, melhor apreciada na janela óssea (setas vermelhas).

Craniofaringioma: É um tumor benigno (grau I pela Organização Mundial da Saúde [OMS]), frequentemente cístico da região selar derivado do epitélio da bolsa de Rathke. Eles são classificados em dois tipos: o adamantinomatoso (costuma ser cístico e predomina na infância) e o papilar (sólido, adultos mais velhos).

Este tumor apresenta distribuição etária bimodal: o primeiro pico ocorrendo dos 5-15 anos, e o segundo pico nos adultos, acima dos 50 anos, com uma distribuição semelhante entre os sexos.

Quadro clínico: E m geral, quanto ao quadro clínico, a criança cursa frequentemente com cefaleia, baixa estatura e algum grau de distúrbio visual.

    Achados de imagem:
  • Tomografia computadorizada do crânio - subtipo papilar:
    • Frequentemente sólido (isodenso);
    • Raramente calcificam.
  • Tomografia computadorizada do crânio - subtipo adamantinomatoso:
    • Lesão mista, predominando componente cístico (hipodenso);
    • 90% delas calcificam;
    • 90% apresentam realce pós-contraste.
  • Ressonância magnética do crânio - subtipo papilar:
    • T1: componente sólido (isointenso);
    • T2: componente sólido;
    • T1 pós-contraste: impregnação na lesão sólida.
  • Ressonância magnética do crânio - subtipo adamantinomatoso:
    • T1: cisto hiperintenso + nódulo variável;
    • T2: componente predominante cístico (hiperintenso);
    • T1 pós-contraste: impregnação do componente cístico.

Diagnósticos diferenciais: Macroadenoma hipofisário, cisto da bolsa de Rathke, apoplexia hipofisária e teratoma.

Autoria principal: Elazir Mota (Radiologia, especialista em Radiologia Pediátrica).

Louis D, Perry A, Wesseling P, et al. The 2021 WHO Classification of Tumors of the Central Nervous System: A Summary. Neuro-Oncology. 2021; 23(8):1231-51.

Hölsken A, Sill M, Merkle J, et al. Adamantinomatous and Papillary Craniopharyngiomas Are Characterized by Distinct Epigenomic as Well as Mutational and Transcriptomic Profiles. Acta Neuropathol Commun. 2016; 4(1):20.

Puget S, Garnett M, Wray A, et al. Pediatric craniopharyngiomas: classification and treatment according to the degree of hypothalamic involvement. J Neurosurg. 2007; 106(1 Suppl):3-12.

Clark AJ, Cage TA, Aranda D, et al. A systematic review of the results of surgery and radiotherapy on tumor control for pediatric craniopharyngioma. Childs Nerv Syst. 2013; 29(2):231-8.

Osborn AG. Osborn's Brain. 1st ed. Salt Lake City: Amirsys, 2012.