Conteúdo copiado com sucesso!

Derrame Pericárdico

Voltar
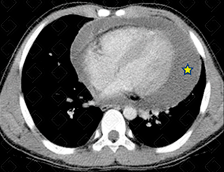
Texto alternativo para a imagem Figura 1. Créditos: Dra. Elazir Mota - Rio de Janeiro/RJ
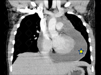
Texto alternativo para a imagem Figura 2. Créditos: Dra. Elazir Mota - Rio de Janeiro/RJ

Descrição das figuras 1 e 2: Tomografia computadorizada do tórax com contraste venoso. Volumoso derrame pericárdico (asteriscos). Paciento adulto jovem com febre e cansaço aos médios esforços. ADA do líquido positivo (+++). Diagnóstico de tuberculose confirmado.

Derrame pericárdico: O pericárdio é um saco fibroelástico que envolve o coração. Entre o pericárdio e o coração existe uma pequena camada de fluido responsável pelo deslizamento entre as camadas do pericárdio durante a sístole e a diástole. Quando esse fluido excede a quantidade normal, desenvolve-se o quadro de derrame pericárdico.

    Existem diversos fatores etiológico envolvidos, como:
  • Inflamatório: doenças inflamatórias sistêmicas ou doença do tecido conjuntivo, como lúpus (LES), artrite reumatoide, esclerodermia e outras;
  • Infeccioso: viral, bacteriana e tuberculose;
  • Traumático ou pós-cirúrgico;
  • Hipertensão arterial pulmonar;
  • Radioterapia;
  • Malignidade (mesotelioma pericárdico, metastático e paraneoplásico);
  • Endócrino: hipotireoidismos.

Quadro clínico: O s sintomas clínicos não se relacionam tanto com o volume do derrame e sim, com o tempo de instalação do mesmo. Quando o derrame surge de modo subagudo/crônico, há tempo de pericárdio se "adaptar" e com isso, paciente costuma ser menos sintomático. Inicialmente, os principais sintomas são dispneia e cansaço aos médios esforços.

    Exames de imagem: Um aumento de cerca de 200 ml no fluido pericárdico é necessário para que ele passe a ser visível nos exames de imagem:
  • Radiografia de tórax: Aumento globular da área cardíaca (aparência de garrafa d'água). Radiografia de tórax em perfil pode evidenciar linha radiopaca (fluido pericárdico) que separa uma linha lucente logo atrás do esterno (da gordura pericárdica) anterior de outra linha lucente (da gordura epicárdica) posterior ( oreo sign ), além de evidenciar diferente densidade das bordas cardíacas e aumento do índice cardiotorácico;
  • Ecocardiograma: Exame padrão-ouro na avaliação do derrame pericárdico, pois confirma a hipótese diagnóstica, estima o volume de derrame pericárdico e, principalmente, dá acesso ao impacto hemodinâmico do derrame pericárdico;
  • Tomografia computadorizada do tórax: A espessura normal do pericárdio na tomografia é de até 2 mm (acima de 3-4 mm já é considerado anormal). Este diagnóstico é muito fácil na tomografia, mas em geral o exame é realizado para auxiliar na na investigação da possibilidade diagnóstica do derrame.

Diagnósticos diferenciais: Cardiomegalia e hemopericárdio.

Autoria principal: Elazir Mota (Radiologia, especialista em Radiologia Pediátrica).

Lin E, Escott E, Garg K, et al. Practical differential diagnosis for CT and MRI. 1st ed. Rio de Janeiro: Thieme Medical Pub, 2008.

Wang ZJ, Reddy GP, Gotway MB, et al. CT and MR imaging of pericardial disease. Radiographics. 2003; 23.

Bogaert J, Francone M. Pericardial disease: value of CT and MR imaging. Radiology. 2013; 267(2):340-56.

Munden RF, Carter BW, Chiles C, et al. Managing Incidental Findings on Thoracic CT: Mediastinal and Cardiovascular Findings. A White Paper of the ACR Incidental Findings Committee. J Am Coll Radiol. 2018; 15(8):1087-1096.

Ivens EL, Munt BI, Moss RR. Pericardial disease: what the general cardiologist needs to know. Heart (British Cardiac Society). 2007; 93(8):993-1000.