Conteúdo copiado com sucesso!

Derrame Pleural

Voltar
Texto alternativo para a imagem Figura 1. Créditos: Dra. Elazir Mota - Rio de Janeiro/RJ
Texto alternativo para a imagem Figura 2. Créditos: Dra. Elazir Mota - Rio de Janeiro/RJ
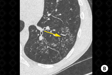
Texto alternativo para a imagem Figura 3. Créditos: Dra. Elazir Mota - Rio de Janeiro/RJ

Descrição das figuras 1, 2 e 3: Adolescente de 16 anos, com desconforto respiratório e febre. Imagem A (figura 1): radiografia de tórax evidencia moderado derrame pleural (asterisco). Imagem B (figuras 2 e 3): exame foi complementado com tomografia de tórax com contraste, pela não melhora clínica. Observa-se o derrame pleural (seta vermelha) à direita e os nódulos centrolobulares (seta amarela) com padrão de árvore em brotamento à esquerda, achados muito sugestivos de tuberculose pulmonar, confirmada posteriormente.

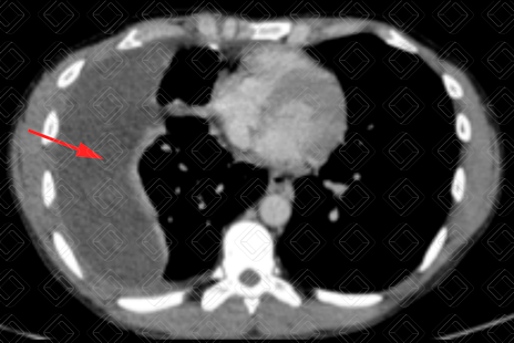
Texto alternativo para a imagem Figura 4. Créditos: Dra. Elazir Mota - Rio de Janeiro/RJ
Texto alternativo para a imagem Figura 5. Créditos: Dra. Elazir Mota - Rio de Janeiro/RJ

Descrição das figuras 4 e 5: Tomografia computadorizada do tórax evidenciando pequeno derrame pleural bilateral (setas vermelhas), com densidade líquida, ao redor de 2 UH.

Derrame pleural: Trata-se da presença de líquido no espaço pleural, por uma disfunção das forças homeostáticas responsáveis pela fisiologia normal do líquido pleural. Pode ocorrer devido a doenças pleurais, pulmonares ou extrapulmonares.

    Etiologias:
  • Transudato: Insuficiência cardíaca congestiva, hipoalbuminemia, síndrome nefrótica, pericardite constritiva e diálise peritoneal. Nesses casos, a pleura é normal e, se a patologia de base for resolvida, o líquido pleural é reabsorvido sem sequelas;
  • Exsudato: Pneumonias, neoplasias, tromboembolismo pulmonar, colagenoses e reações a drogas. Os exsudatos desenvolvem-se quando a superfície pleural, a permeabilidade capilar ou ambos estão alterados.
    Avaliação por exames de imagem:
  • Radiografia de tórax: Primeiro método de imagem que deve ser solicitado na avaliação do paciente com suspeita de derrame pleural. Devem ser realizadas sempre duas incidências: Posteroanterior (PA) e perfil;
  • Ultrassonografia de tórax: Usado nos casos em que há suspeita do derrame na radiografia de tórax. Serve como excelente aliado para sua confirmação;
  • Tomografia computadorizada (TC) de tórax: Não é necessária na investigação da maior parte dos pacientes com derrame pleural. Deve ser realizada somente nos pacientes com má resposta ao tratamento clínico, nos derrames com etiologia desconhecida ou para avaliar complicações (como a presença de fístulas, necrose do parênquima adjacente, etc.).
    Achados de imagem:
  • Radiografia de tórax : Em geral, os derrames livres acumulam-se nas porções pendentes dos pulmões. Na radiografia em ortostase, o achado mais precoce é a obliteração do seio costofrênico posterior na imagem em perfil. Volumes maiores passam a ser observados também na incidência frontal. Derrames pleurais volumosos podem ser uma das causas de hemitórax opaco, com aumento das dimensões do hemitórax acometido e desvio das estruturais mediastinais contralateralmente. Lembrando que o uso da radiografia em decúbito lateral com raios horizontais pode ser usado para confirmar o derrame pleural, mas está em desuso devido ao excesso de radiação ionizante (atualmente, nos casos duvidosos, a melhor escolha é a ultrassonografia de tórax). Figura 1;
  • Ultrassonografia de tórax: Trata-se de um método com grande disponibilidade, acessibilidade e que é portátil (podendo ser realizado à beira do leito), auxiliando na detecção de pequenos derrames pleurais e na toracocentese. Além disso, a ultrassonografia auxilia na caracterização do derrame pleural, se anecoico ou se contém grumos e debris, sugerindo loculação do líquido no espaço pleural;
  • Tomografia computadorizada (TC) do tórax : Em geral, é usado somente nos casos mais graves, como suspeitas de neoplasia, complicação de derrame parapneumônico ou quando a causa do derrame pleural permanece desconhecida. Em geral, a densidade do derrame pleural na TC encontra-se entre 10-20 UH (densidade líquida). Figuras 1 e 2;
  • Ressonância magnética: Pode detectar o derrame, mas raramente será usado para seu diagnóstico.

Autoria principal: Elazir Mota (Radiologia, especialista em Radiologia Pediátrica).

Botana Rial M, Pérez Pallarés J, Cases Viedma E, et al. Diagnosis and Treatment of Pleural Effusion. Recommendations of the Spanish Society of Pulmonology and Thoracic Surgery. Update 2022. Arch Bronconeumol. 2023; 59(1):27-35.

Evand AL, Gleeson FV. Radiology in pleural disease: state of the art. Respirology. 2004; 9(3):300-12.

Brant WE, Helms C. Fundamentals of Diagnostic Radiology. 4th ed. Philadelphia: Lippincott Williams & Wilkins, 2012.

Bonomo L, Feragalli B, Sacco R, et al. Malignant pleural disease. Eur J Radiol. 2000; 34(2):98118.