Conteúdo copiado com sucesso!

Disgenesia do Corpo Caloso

Voltar
Texto alternativo para a imagem
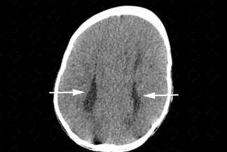
Texto alternativo para a imagem Créditos: Dra. Elazir Mota - Rio de Janeiro/RJ

Descrição das imagens: Tomografia computadorizada do crânio. Imagem no plano axial mostra dilatação dos cornos occipitais dos ventrículos laterais (colpocefalia - seta vermelha). Além disso, é importante observar o paralelismo dos ventrículos laterais (setas brancas), algo habitualmente visto na disgenesia do corpo caloso.

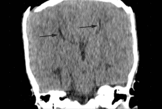
Texto alternativo para a imagem Créditos: Dra. Elazir Mota - Rio de Janeiro/RJ

Descrição da imagem: A reconstrução no plano coronal demonstra a ausência do corpo caloso e os ventrículos laterais separados (aparência de "cabeça de búfalo" - setas pretas).

Disgenesia/agenesia do corpo caloso: Ausência parcial ou completa do corpo caloso e da comissura hipocampal. Pode ser observada em qualquer idade; classicamente identificada durante a infância; malformação mais comum encontrada em fetos.

Quadro clínico: Afeta os pacientes causando graus variáveis de atraso no desenvolvimento incluindo falhas na linguagem, distúrbios visuais e convulsões. Em geral, a disgenesia calosal isolada é assintomática.

Exames de imagem: Melhor pista diagnóstica é a ausência parcial ou completa do corpo caloso na linha média dos planos sagital ou coronal + ventrículos laterais separados e paralelos (axial), aparência de "cabeça de búfalo" ou "cabeça de alce".

    Exames de imagem: M elhor pista diagnóstica é a ausência parcial ou completa do corpo caloso na linha média dos planos sagital ou coronal + ventrículos laterais separados e paralelos (axial), aparência de "cabeça de búfalo" ou "cabeça de alce".
  • Ultrassonografia transfontanelar: Na agenesia não visualizamos o corpo caloso nas imagens coronais. Presença de colpocefalia, cornos frontais separados (cabeça de alce). O terceiro ventrículo pode estar dilatado e se projetar na fissura interhemisférica;
  • Tomografia computadorizada do crânio : Achados semelhantes ao ultrassom transfontanelar;
  • Ressonância magnética do crânio: Achados semelhantes, com uma melhor definição tecidual. Vale lembrar que a disgenesia do corpo caloso pode estar associado a lipoma do corpo caloso (mais comum na sua porção anterior) e facilmente visualizado na sequência T1 como área de hiperssinal.

A agenesia/disgenesia do caloso podem estar associadas a outras malformações, como estenose de aqueduto, Chiari II , malformações do desenvolvimento cortical, tronco e cerebelo.

Diagnóstico diferencial: N ão existem diagnósticos diferenciais.

Autoria principal: Elazir Mota (Radiologia, especialista em Radiologia Pediátrica).

Szczupak D, Kossmann Ferraz M, Gemal L, et al. Corpus callosum dysgenesis causes novel patterns of structural and functional brain connectivity. Brain Commun. 2021; 3(2):fcab057.

Küker W, Mayrhofer H, Mader I, et al. Malformations of the midline commissures: MRI findings in the different forms of callosal dysgenesis. Eur Radiol. 2003; 13(3):598-604.

Edwards TJ, Sherr EH, Barkovich AJ, et al. Clinical, genetic and imaging findings identify new causes for corpus callosum development syndromes. Brain. 2014; 137(Pt 6):1579-613.

Jakab A, Kasprian G, Schwartz E, et al. Disrupted developmental organization of the structural connectome in fetuses with corpus callosum agenesis. Neuroimage. 2015; 111:277–288.

Tovar-Moll F, Moll J, de Oliveira-Souza R, et al. Neuroplasticity in human callosal dysgenesis: A diffusion tensor imaging study. Cereb Cortex. 2007; 17(3):531–541.