Conteúdo copiado com sucesso!

Dissecção de Aorta

Voltar
Texto alternativo para a imagem
Texto alternativo para a imagem
Texto alternativo para a imagem
Texto alternativo para a imagem

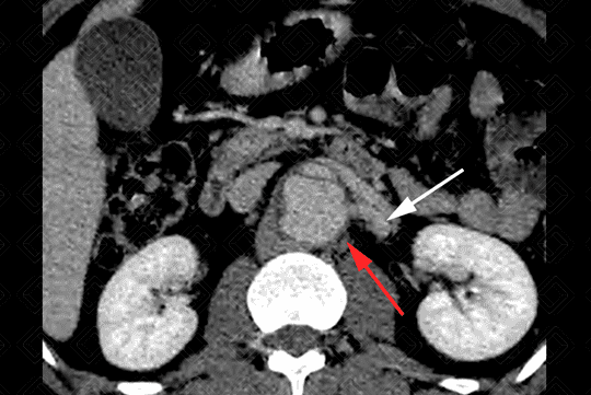
Descrição das imagens: Extensa dissecção da aorta descendente com dilatação da luz falsa (setas vermelhas) e redução das dimensões da luz verdadeira (asteriscos). É importante detalhar o suprimento dos ramos aórticos, ou seja, se estão sendo supridas pela falsa ou verdadeira luz. Neste paciente, observamos que a artéria renal esquerda (seta branca) está sendo suprida pela falsa luz (seta vermelha).

Dissecção aguda da aorta: É a forma mais comum de síndrome aórtica aguda e um tipo de dissecção arterial. Trata-se de um evento em que há uma súbita ruptura da camada média da aorta, permitindo que o sangue penetre entre as camadas médias da artéria, dissecando uma da outra, criando um espaço denominado de falsa luz.

    Existem duas classificações com base na localização da laceração primária e na extensão da dissecção, as quais determinam prognóstico e tratamento distinto.
  • Classificação DeBakey: Tipo I (acomete aorta ascendente e descendente), tipo II (acomete aorta ascendente) e tipo III (aorta descendente);
  • Classificação de Stanford: Tipo A (acomete aorta ascendente) e tipo B (acomete apenas a aorta descendente).

Quadro clínico: N o tipo A de Stanford (tipos I e II de De Bakey) manifesta-se por dor torácica de início súbito retroesternal, de grande intensidade, associada a náuseas e sudorese. Porém, a dor pode ser idêntica a do IAM, embora neste caso a intensidade é progressiva. Já o tipo B, manifesta-se como uma dor na região dorsal torácica ou toracolombar. Caso esta dissecção estenda-se para o nível das artérias renais, pode levar à hipertensão severa renovascular.

    Exames de imagem: A angiotomografia da aorta é o exame de escolha. O valor da angiorressonância é limitado na dissecção aguda da aorta pelo longo tempo de exame. Achados de imagem na angiotomografia da aorta:
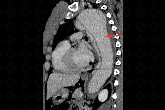
  • Figura 1: Localizar a dissecção: as dissecções que envolvem aorta ascendente são tratadas cirurgicamente a fim de evitar complicações fatais, como: extensão para artérias coronárias, valva aórtica, pleura ou pericárdio. Já o acometimento somente da aorta descendente, em geral, possui manejo conservador;
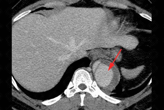
  • Figura 2: Definir luz falsa e verdadeira: a luz com frequência tem área transversal maior devido ao fluxo lento. Sendo assim, a luz verdadeira está comprimida em cerca de 80% dos casos. Outro dado: a luz falsa é mais propensa à trombose;
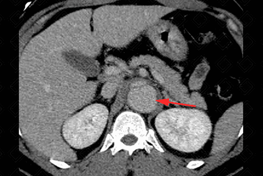
  • Figura 3: Definir origem dos ramos aórticos;
  • Figura 4: Pesquisa de complicações: como isquemia, formação de aneurisma, ruptura aórtica e outros.

Diagnósticos diferenciais: Síndrome isquêmica miocárdica; endocardite infecciosa com insuficiência aórtica aguda; aneurismas da aorta não dissecantes; pericardites; tromboembolismo pulmonar ; pneumotórax hipertensivo; ruptura do esôfago; tumor de mediastino; infarto agudo do miocárdio.

Autoria principal: Elazir Mota (Radiologia, especialista em Radiologia Pediátrica).

Murillo H, Molvin L, Chin AS, et al. Aortic Dissection and Other Acute Aortic Syndromes: Diagnostic Imaging Findings from Acute to Chronic Longitudinal Progression. RadioGraphics. 2021; 41(2):425-446.

Bossone E, LaBounty TM, Eagle KA. Acute aortic syndromes: diagnosis and management, an update. Eur Heart J. 2018; 39(9):739–749d.

McMahon MA, Squirrell CA. Multidetector CT of aortic dissection: a pictorial review. RadioGraphics. 2010; 30(2):445–460.

Agarwal PP, Chughtai A, Matzinger FRK, et al. Multidetector CT of Thoracic Aortic Aneurysms. Radiographics. 2009; 29(2):537-52.

Roos JE, Willmann JK, Weishaupt D, et al. Thoracic aorta: motion artifact reduction with retrospective and prospective electrocardiography-assisted multi-detector row CT. Radiology. 2002; 222:271–277.