Conteúdo copiado com sucesso!

Diverticulite Aguda

Voltar
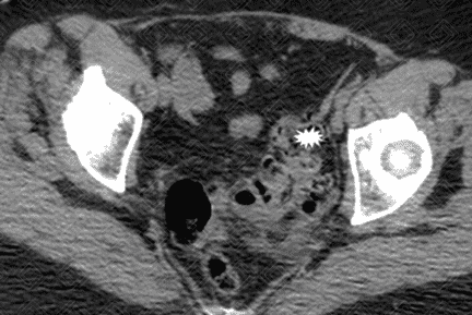
Texto alternativo para a imagem Figura 1. Créditos: Dra. Elazir Mota - Rio de Janeiro/RJ
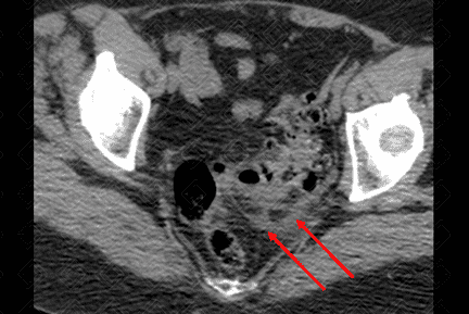
Texto alternativo para a imagem Figura 2. Créditos: Dra. Elazir Mota - Rio de Janeiro/RJ

Descrição das figuras 1 e 2: Tomografia computadorizada do abdome. Presença de alguns divertículos colônicos (figura 1 - asterisco), mais evidentes no sigmoide, no qual observa-se densificação dos planos adiposos e lâmina líquida de permeio (figura 2 - setas vermelhas). Achados compatíveis com diverticulite aguda não complicada do sigmoide.

Diverticulite aguda : Trata-se de uma das possíveis complicações da doença diverticular. Cerca de 4% dos pacientes portadores de divertículos colônicos, em algum momento da vida, irão dessenvolver quadro de diverticulite aguda.

Quadro clínico: Dor abdominal na fossa ilíaca esquerda e febre, com queda do estado geral. Conforme a doença progride sem o diagnóstico correto, podemos palpar flegmão, com formação de abscesso e sepse.

    Exames de imagem:
  • Ultrassonografia de abdome: E m mãos experientes, pode realizar o diagnóstico. Observa-se espessamento e aumento da ecogenicidade do tecido adiposo adjacente e, nos casos complicados, a presença de abscessos e coleções. No entanto, não é o exame de escolha;
  • Ressonância magnética do abdome: Não é o exame de escolha. No contexto de emergência, não deve ser realizado se a suspeita diagnóstica for essa. Trata-se de exame demorado e, muitas vezes, pela dor, o paciente não tolera tanto tempo na máquina ou fica inquieto, gerando muitos artefatos de imagem que prejudicam demais o exame;
  • Tomografia computadorizada do abdome: E xame de escolha quando a suspeita for diverticulite aguda. Destaca-se a necessidade da administração do contraste venoso, realizando o estudo em fase única (portal), para afastar a presença de complicações (abscessos, fístulas, perfuração e outros). Além disso, é um exame com rápida aquisição da imagem, sendo indicado no contexto de atendimento de emergência/urgência.
    Classificação tomográfica (dividida em diverticulite aguda complicada x não complicada):
  • Não complicada: Observa-se apenas espessamento da parede dos divertículos, com aumento da densidade da gordura pericolônica;
  • Complicada:
    • Estágio 1A: Notam-se bolhas de ar pericolônicas, com pouco líquido, sem abscesso;
    • Estágio 1B: O abscesso é menor que 4 cm;
    • Estágio 2A: O abscesso é maior que 4 cm;
    • Estágio 2B: Pode haver ar distante a mais de 5 cm da alça inflamada;
    • Estágio 3: Há fluido difuso sem ar livre distante;
    • Estágio 4: O ar está presente a distância. [cms-watermark]

Diagnósticos diferenciais: O principal diagnóstico diferencial da diverticulite aguda é o adenocarcinoma do cólon , cujo espessamento parietal é assimétrico e excêntrico, com uma zona de transição abrupta. Nos casos duvidosos, está indicada a colonoscopia após a resolução do quadro agudo.

Autoria principal: Elazir Mota (Radiologia, especialista em Radiologia Pediátrica).

Andeweg CS, Mulder IM, Felt-Bersma RJ, et al. Guidelines of diagnostics and treatment of acute left-sided colonic diverticulitis. Dig Surg. 2013; 30:278-92.

Lazarus DE, et al. Frequency and Relevance of the 'Small-Bowel Feces' Sign on CT in Patients with Small-Bowel Obstruction. AJR. 2004; 183:1361-1366.

Naves AA, D’Ippolito G, Souza LRMF, et al. O que o radiologista deve saber na avaliação tomográfica da diverticulite aguda dos cólons. Radiol Bras. 2017; 50(2):126-131.

Sartelli M, Moore FA, Ansaloni L, et al. A proposal for a CT driven classification of left colon acute diverticulitis. World J Emerg Surg. 2015; 10:3.

Tiferes DA, Jayanthi SK, Liguori AAL. Cólon, reto e apêndice. In: D’Ippolito G, Caldana RP, editores. Gastrointestinal. Série CBR. 1a ed. Rio de Janeiro: Editora Sarvier. 2011; 203-52.