Conteúdo copiado com sucesso!

Doença Pulmonar Obstrutiva Crônica

Voltar
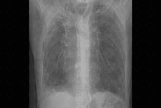
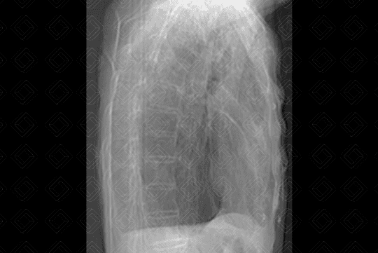
Texto alternativo para a imagem Figura 1. Créditos: Dra. Elazir Mota - Rio de Janeiro/RJ
Texto alternativo para a imagem Figura 2. Créditos: Dra. Elazir Mota - Rio de Janeiro/RJ

Descrição das figuras 1 e 2: Radiografia de tórax PA e perfil evidenciando os sinais clássicos de doença pulmonar obstrutiva crônica: diafragma retificado, coração alongado e verticalizado, além de aumento anteroposterior da caixa torácica.

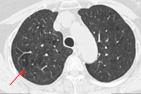
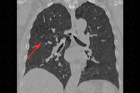
Texto alternativo para a imagem Figura 3. Créditos: Dra. Elazir Mota - Rio de Janeiro/RJ
Texto alternativo para a imagem Figura 4. Créditos: Dra. Elazir Mota - Rio de Janeiro/RJ
Texto alternativo para a imagem Figura 5. Créditos: Dra. Elazir Mota - Rio de Janeiro/RJ
Texto alternativo para a imagem Figura 6. Créditos: Dra. Elazir Mota - Rio de Janeiro/RJ

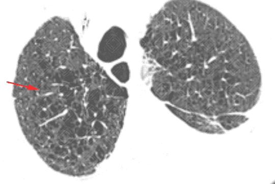
Descrição das figuras 3, 4, 5 e 6: Tomografia computadorizada do tórax seguida de aquisições coronais, sagitais e axiais mostrando as extensas áreas de enfisema centrolobular dispersas pelo parênquima pulmonar (setas vermelhas).

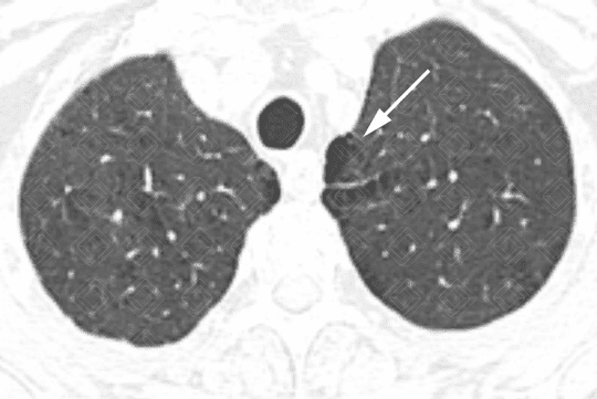
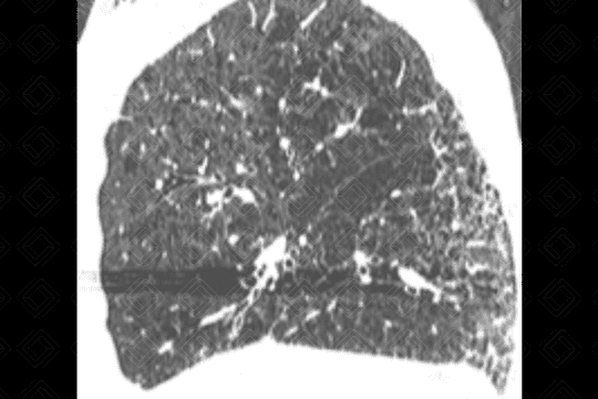
Texto alternativo para a imagem Figura 7. Créditos: Dra. Elazir Mota - Rio de Janeiro/RJ
Texto alternativo para a imagem Figura 8. Créditos: Dra. Elazir Mota - Rio de Janeiro/RJ

Descrição das figuras 7 e 8: Tomografia computadorizada de tórax com aquisições axiais e sagitais evidenciando a presença de áreas de enfisema parasseptal nos lobos superiores dos pulmões em paciente tabagista (setas vermelhas). Observar que as áreas de enfisema parasseptal ocorrem na periferia dos pulmões, ou seja, em qualquer superfície pleural ou septos interlobulares.

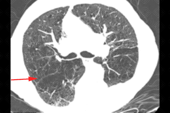
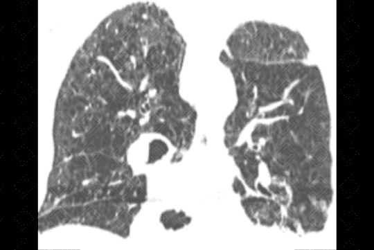
Texto alternativo para a imagem Figura 9. Créditos: Dra. Elazir Mota - Rio de Janeiro/RJ
Texto alternativo para a imagem Figura 10. Créditos: Dra. Elazir Mota - Rio de Janeiro/RJ
Texto alternativo para a imagem Figura 11. Crédito: Dra. Elazir Mota - Rio de Janeiro/RJ

Descrição das figuras 9, 10 e 11: Tomografia computadorizada com aquisições axiais e coronais evidenciando áreas de enfisema parasseptal (seta branca) e centrolobular (setas vermelhas) nos lobos superiores.

Doença pulmonar obstrutiva crônica (DPOC): Condição caracterizada por limitação fixa ao fluxo aéreo. Seus protótipos clínicos e patológicos são a bronquite crônica e o enfisema pulmonar. O conhecimento da DPOC ganhou extrema relevância, visto que essa é a quarta causa de morte nos EUA. No Brasil, a DPOC é a quinta maior causa de internação de adultos no sistema público de saúde, com cerca de 200.000 internações ao ano.

Quadro clínico: A tosse é o sintoma mais encontrado e pode preceder a dispneia ou aparecer simultaneamente a ela. No fumante, é tão frequente que muitos pacientes não a percebem como sintoma de doença. A dispneia é o principal sintoma associado à incapacidade, redução da qualidade de vida e pior prognóstico, tendendo a ser progressiva com a evolução da doença. Os pacientes com pequenos volumes de enfisema são geralmente assintomáticos, tornando o seu diagnóstico clínico difícil. Historicamente, os pacientes com bronquite crônica são chamados de blue bloaters e aqueles portadores de enfisema, pink puffers . A DPOC tem como seu principal fator causal o tabagismo .

    Achados de imagem:
  • Radiografia de tórax: O r endimento da avaliação da DPOC pelo estudo radiológico simples é bastante limitado, não havendo anormalidade na radiografia se não existir aprisionamento de ar. Quando há aprisionamento de ar, os critérios mais seguros são: diafragma rebaixado ou retificado; aumento do espaço retroesternal (maior que 3 cm) e persistência do aumento do espaço retroesternal na expiração, coração alongado e verticalizado, presença de bolhas é inferida pela identificação de área de maior radiotransparência, avascular, podendo ou não estar delimitada por fina linha branca (figuras 1 e 2) ;
  • Tomografia computadorizada do tórax: Este método é mais sensível e específico que a radiografia de tórax na avaliação do enfisema. Tem sido empregado para detectar, quantificar e caracterizar a doença. A tomografia é capaz de diferenciar os vários tipos de enfisema, que pode ser classificado, de acordo com a região do ácino acometida, em proximal (centrolobular ou centroacinar - figuras 3, 4, 5, 6, 9, 10 e 11 ), distal (parasseptal - figuras 7, 8, 9, 10 e 11 ) ou todo ácino (panacinar ou panlobular).

Diagnósticos diferenciais: Qualquer doença que possa levar à tosse ou dispneia, especialmente nos pacientes fumantes.

Autoria principal: Elazir Mota (Radiologia, especialista em Radiologia Pediátrica).

Irion KL, Hochhegger B, Marchiori E, Porto NS, Baldisserotto SV, Santana PR. Radiograma de tórax e tomografia computadorizada na avaliação do enfisema pulmonar. J Bras Pneumol. 2007; 33(6):720-732.

Matsuoka S, Yamashiro T, Washko GR, Kurihara Y, Nakajima Y, Hatabu H. Quantitative CT Assessment of Chronic Obstructive Pulmonary Disease. Radiographics. 2010; 30:55-66.

Irion KL, Marchiori E, Hochhegger B, et al. CT quantification of emphysema in young subjects with no recognizable chest disease. AJR Am J Roentgenol. 2009; 192:W90-6.

Silva CIS, Marchiori E, Souza Júnior AS, Müller NL. Consenso brasileiro ilustrado sobre a terminologia dos descritores e padrões fundamentais da TC de tórax. J Bras Pneumol. 2010; 36(1):99-123.

Gurney JW, Muran HTW, Rosado-de-Christenson ML, Mohammed TLH, Abbott GF, Maier MH. HRCT of the LUNG Anatomic basis, imaging features, differential diagnosis 2009. Amirsys.