Conteúdo copiado com sucesso!

Doença de Blount

Voltar
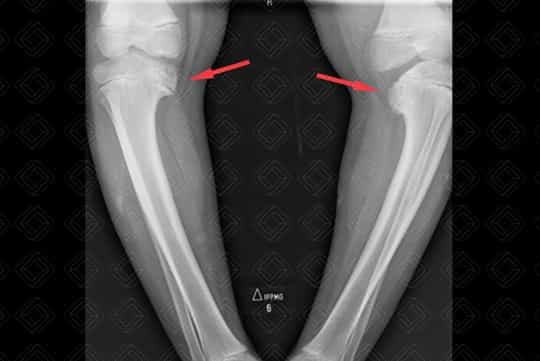
Texto alternativo para a imagem Figura 1. Crédito: Dra. Elazir Mota - Rio de Janeiro/RJ

Descrição da imagem: Radiografia dos joelhos em AP e perfil. Geno varo bilateral e importante arqueamento dos fêmures. Tíbias varas observando-se alteração morfoestrutural das metáfises e epífises mediais (setas vermelhas).

Doença de Blount: É uma das causas de tíbia vara. Acredita-se que ocorra por estresse anormal da porção posteromedial da tíbia proximal, levando à interrupção do seu crescimento adequado. O crescimento das epífises tíbias torna-se assimétrico, acarretando na típica angulação em varo. Na maioria dos casos, seu acometimento é unilateral ou assimétrico. Os principais fatores de risco são: deambulação precoce, obesidade e crianças sul-africanas.

    Exames de imagem:
  • Radiografia dos joelhos: Na maioria dos casos é realizado com radiografias dos joelhos em AP. A radiografia vai demonstrar o geno varo e anormalidades na tíbia proximal, que consistem na fragmentação e irregularidade da porção posteromedial das metáfises e deficiência da porção medial das epífises. As fises podem permanecer abertas na sua porção medial devido ao crescimento prejudicado;
  • Tomografia computadorizada ou ressonância magnética dos joelhos: E videnciam os mesmos achados da radiografia. Em geral, não são solicitados. O diagnóstico é realizado pela radiografia e história clínica adequada.

Diagnósticos diferenciais: R aquitismo , displasias esqueléticas, escoburto, neurofibromatose tipo 1, osteomielite.

Autoria principal: Elazir Mota (Radiologia, especialista em Radiologia Pediátrica).

Craig JG, Van holsbeeck M, Zaltz I. The utility of MR in assessing Blount disease. Skeletal Radiol. 2002; 31(4):208-13.

Choudhary AK, Donnelly LF, Racadio JM, et al. Diseases associated with childhood obesity. AJR Am J Roentgenol. 2007; 188(4):1118-30.

Hofmann A, Wenger DR. Posteromedial bowing of the tibia: progression of discrepancy in leg lengths. J Bone Joint Surg Am. 1981; 63:384-388.

Caffey J. Prenatal bowing and thickening of tubular bones, with multiple cutaneous dimples in arms and legs. Am J Dis Child. 1947; 74:543-562.