Conteúdo copiado com sucesso!

Doença de Paget

Voltar
Texto alternativo para a imagem Figura 1. Créditos: Dra. Elazir Mota - Rio de Janeiro/RJ

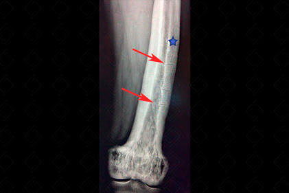
Descrição da figura 1: Radiografia do fêmur em paciente portador de doença de Paget. Observar o trabeculado ósseo grosseiro na região metadiafisária, o espessamento cortical (asterisco) e as fraturas em banana – fraturas horizontais (setas vermelhas).

Texto alternativo para a imagem Figura 2. Créditos: Dra. Elazir Mota - Rio de Janeiro/RJ
Texto alternativo para a imagem Figura 3. Créditos: Dra. Elazir Mota - Rio de Janeiro/RJ

Descrição das figuras 2 e 3: Tomografia computadorizada do fêmur do mesmo paciente evidenciando acentuada deformidade óssea. As fraturas horizontais conhecidas como fratura em banana ficaram ainda mais evidentes (seta vermelha).

Doença de Paget: Trata-se de uma doença osteometabólica óssea crônica caracterizada por um excessivo e anormal remodelamento ósseo. Afeta cerca de 3-4% dos indivíduos após os 40 anos. Atualmente, a doença de Paget óssea é descrita ainda como a segunda doença osteometabólica mais prevalente no mundo, depois da osteoporose.

Quadro clínico: Alguns pacientes podem ser assintomáticos, porém na maioria dos casos eles se apresentam com dor articular e óssea, com prevalência em torno de 50% dos casos, explicada principalmente por doença articular degenerativa secundária, lesão periosteal ou cartilaginosa, microfraturas e deformidades ósseas.

O mecanismo mais frequente de expansão do osso acometido, que pode ser evidenciado pelo exame radiológico, é devido à aposição periosteal com absorção endosteal. Os osteoclastos acham-se aumentados em número e tamanho. Há uma disfunção osteoblástica, com osteoblastos hiperativos, mas normais em morfologia, que acarreta formação de novo osso periosteal e endosteal, de forma caótica, com perda do padrão lamelar normal.

A doença de Paget pode ser dividida em três fases radiológicas: lítica , na qual predomina a reabsorção óssea pelos osteoclastos, mista e sua fase final , blástica.

    Exames de imagem: Essenciais para definir o diagnóstico de doença de Paget, avaliar seu tipo e sua extensão. A radiografia dos ossos é usada como exame inicial diante da suspeita de doença de Paget. Posteriormente, a tomografia, ressonância magnética e cintilografia são os próximos exames de escolha.
  • Na fase lítica da doença, áreas radioluscentes, de limites bem definidos e sem esclerose são observadas;
  • Já na fase mista, observamos trabeculado grosseiro e espessamento cortical;
  • Na fase final ou blástica, observam-se áreas de esclerose e aumento do volume ósseo. Nesta última fase da doença, devido à excessiva deposição de osso "anormal", há uma grande predisposição a fraturas, como as características fraturas em banana (figuras 1 e 2). As múltiplas fraturas e o remodelamento ósseo anormal acarretam nas deformidades ósseas. Na calota craniana, há espessamento da tábua interna, levando ao aumento do espaço diploico ( Tam O`Shanter - boina escocesa), podendo acarretar em sintomas neurológicos. Na coluna, o excessivo remodelamento leva ao surgimento da vértebra em marfim , podendo haver aumento volumétrico do corpo vertebral e seus elementos posteriores.

Diagnósticos diferenciais: H iperostose frontal interna, displasia fibrosa , hemangioma, osteonecrose e fibroma não ossificante .

Autoria principal: Elazir Mota (Radiologia, especialista em Radiologia Pediátrica).

Andreu-Arasa V, Chapman M, Kuno H, et al. Craniofacial Manifestations of Systemic Disorders: CT and MR Imaging Findings and Imaging Approach. Radiographics. 2018; 38(3):890-911.

Cundy T, Bolland M. Paget disease of bone. Trends Endocrinol Metab. 2008; 19:246-253.

Tehranzadeh J. Musculoskeletal Imaging Cases. 1st ed. New York: McGraw Hill Professional, 2008.

Bender I. Paget’s disease. J Endod. 2003; 29:720-723.

Smith S, Murphey M, Motamedi K, et al. Radiologic spectrum of Paget disease of bone and its complications with pathologic correlation. RadioGraphics. 2002; 22:1191-1216.