Conteúdo copiado com sucesso!

Doenças Inflamatórias Intestinais

Voltar
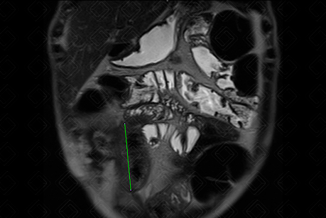
Texto alternativo para a imagem Figura 1. Créditos: Dra. Elazir Mota - Rio de Janeiro/RJ

Descrição da figura 1: EnteroRM sequência Haste (ponderada em T2), evidenciando espessamento parietal adjacente à anastomose ileocolônica, com extensão de cerca de 6,6 cm (seta verde). Neste caso, trata-se de paciente portadora de doença de Crohn com inúmeras manipulações cirúrgicas prévias, apresentando novo quadro de suboclusão.

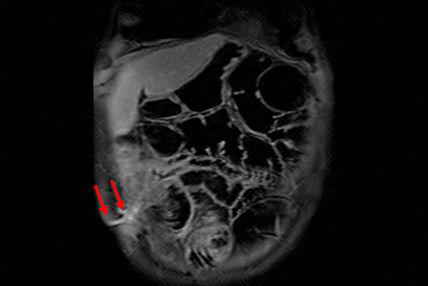
Texto alternativo para a imagem Figura 2. Créditos: Dra. Elazir Mota - Rio de Janeiro/RJ

Descrição da figura 2: Na sequência VIBE 3D pós-contraste plano coronal (ponderada em T1), observamos trajeto fistuloso (setas vermelhas) que se estende da alça doente à parede abdominal.

Doença inflamatória intestinal (DII): N este grupo de doenças fazem parte a retocolite ulcerativa e doença de Crohn. Abordaremos como a radiologia pode auxiliar no acompanhamento dessas duas condições.

Quadro clínico: D or abdominal, diarreia, febre e emagrecimento são os sintomas constitucionais mais comuns. A depender do tipo de DII, a sintomatologia pode ser diferente e principalmente, o acometimento extra-intestinal pela doença.

    Exames de imagem:
  • Ultrassonografia do abdome: Não é o método de escolha, apesar de ser livre de radiação ionizante. Uma outra limitação, é o fato de ser operador dependente. É um método com seu uso crescente, especialmente na população pediátrica, demonstrando adequadamente o espessamento parietal, a presença de estratificação das camadas, aumento da vascularização no estudo com Doppler, motilidade e peristaltismo. Serve ainda para analisar as complicações, como proliferação inflamatória da gordura mesentérica, linfonodos, líquido livre, abscessos, estenoses e fístulas;
  • Enterotomografia computadorizada de abdome: Estudo por meio de enterografia, oferece uma boa resolução multiplanar, sendo de rápida execução. Trata-se de um bom método que permite, por meio do uso do contraste venoso, avaliação de atividade de doença e suas complicações. No entanto, sua grande limitação é a grande quantidade de radiação ionizante. Devemos pensar que boa parte destes pacientes são jovens e a TC acaba sendo um método inadequado para realizar o acompanhamento da doença inflamatória intestinal;
  • Enterorressonância magnética (enteroRM) do abdome: Exame de escolha para acompanhamento e avaliação de complicações nos pacientes portadores de DII. Principais indicações: Recaída de doença; suspeita de doença estenosante; complicações extraintestinais; falha tratamento; planejamento cirúrgico – ressecção; excluir DII em paciente jovens com clínica sugestiva.

Sinais radiológicos na enteroRM que indicam atividade de doença: Espessamento parietal: acima de 3 mm (figura 1) ; ulcerações: alto sinal no HASTE; estenoses; pseudodivertículos; edema de parede: sinal mais elevado do que esperado nas sequencias T2 e fat sat .

As principais manifestações extra-intestinais na imagem são: c omb sign (sinal do pente): aumento da vascularização mesentérica; edema mesentérico; “proliferacao fibroadiposa”- sinal muito específico da doença; linfonodos: hiper-realce, aumento e edema - melhor visto na sequência HASTE com fat sat ; fístulas (figura 2) ; abscessos.

Diagnósticos diferenciais : Quando houver acometimento ileal sempre pensar em outras possibilidades diagnósticas como tuberculose e linfoma.

Autoria principal: Elazir Mota (Radiologia, especialista em Radiologia Pediátrica).

Frias-Gomes C, Torres J, Palmela C. Intestinal Ultrasound in Inflammatory Bowel Disease: A Valuable and Increasingly Important Tool. GE Port J Gastroenterol. 2021; 29(4):223-239.

Karacin C, Türker S, Eren T, et al. 2020. Predictors of Neoplasia in Colonic Wall Thickening Detected via Computerized Tomography. Cureus. 2020; 12(9):e10553.

Elsayes KM, Al-Hawary MM, Jagdish J, et al. CT Enterography: Principles, Trends, and Interpretation of Findings. RadioGraphics. 2010; 30(7):1955-1970.

Tolan DJM, Greenhalgh R, Zealley IA, et al. MR enterographic manifestations of small bowel Crohn disease. RadioGraphics. 2010; 30(2):367-384.

Rice HE, Frush DP, Farmer D, Waldhausen JH; APSA Education Committee. Review of radiation risks from computed tomography: essentials for the pediatric surgeon. J Pediatr Surg. 2007; 42:603???607.