Conteúdo copiado com sucesso!

Edema Agudo de Pulmão

Voltar
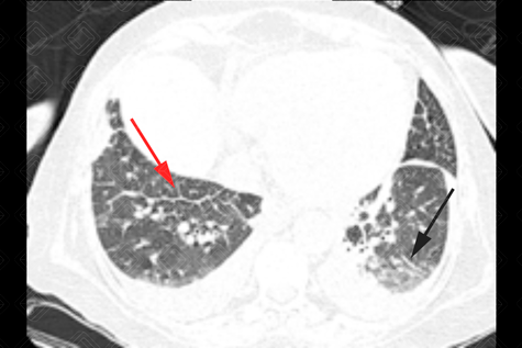
Texto alternativo para a imagem Figura 1. Créditos: Dra. Elazir Mota - Rio de Janeiro/RJ
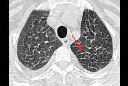
Texto alternativo para a imagem Figura 2. Créditos: Dra. Elazir Mota - Rio de Janeiro/RJ
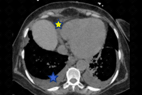
Texto alternativo para a imagem Figura 3. Créditos: Dra. Elazir Mota - Rio de Janeiro/RJ

Descrição das figuras 1, 2 e 3: Tomografia computadorizada de tórax. Espessamento liso dos septos interlobulares (setas vermelhas) associado a discretas áreas em vidro fosco na base pulmonar esquerda (seta preta), moderado derrame pleural bilateral (asterisco azul), derrame pericárdico (asterisco amarelo) e cardiomegalia. O conjunto de achados é sugestivo de congestão pulmonar.

Edema agudo de pulmão: É uma condição patológica frequente que ocorre quando a taxa de produção de fluido intersticial excede a capacidade pulmonar de eliminação desse líquido, levando a um acúmulo do mesmo.

O edema pulmonar pode ser classificado em quatro tipos: hidrostático, por aumento de permeabilidade, com ou sem dano alveolar difuso e misto, que é a associação dos dois mecanismos (aumento da pressão hidrostática e da permeabilidade capilar pulmonar).

Quadro clínico: P aciente comumente apresenta-se com dispneia, dor torácica. Ao exame, boa parte deles encontram-se taquipneicos e com queda de saturação de O 2 .

    Exames de imagem:
  • Radiografia de tórax: Pode-se observar redistribuição dos vasos pulmonares, linhas B de Kerley (linhas densas, melhor visualizadas nas porções inferiores, próximo aos seios costofrênicos - significam espessamento do septo interlobular), espessamento peribrônquico, opacidades pulmonares (se o edema pulmonar ocorrer agudamente, pode-se observar o padrão em asa de borboleta), cardiomegalia e derrame pleural;
  • Tomografia computadorizada de tórax: Opacidades em vidro fosco, espessamento dos septos interlobulares, espessamento peribroncovascular, pavimentação em mosaico, aumento do calibre vascular, consolidações e nódulos de espaço aéreo (como nas figuras acima).

"Asa de borboleta": Vale lembrar que o edema pulmonar que ocorre de forma súbita, em geral por infarto agudo do miocárdio, insuficiência renal e outras causas, são aqueles que apresentam o clássico aspecto em "asa de borboleta" .

Nestes casos, há uma passagem rápida dos fluidos para o compartimento intersticial e alveolar, de forma que as alterações no compartimento intersticial não são vistas precocemente e de forma isolada na radiografia. Atenção! Não se deve esperar por esse sinal radiológico em todos os pacientes.

Diagnósticos diferenciais: Outras causas de dispneia devem sempre ser lembradas, como pneumonia, tromboembolismo pulmonar, crise de asma, DPOC, pneumotórax e outras.

Autoria principal: Elazir Mota (Radiologia, especialista em Radiologia Pediátrica).

Ribeiro CMC, et al . Edema pulmonar hidrostático: aspectos na tomografia computadorizada de alta resolução. J. Bras. Pneumol. 2006; 32(6):515-522.

Antonio ACP, et al. Usefulness of radiological signs of pulmonary congestion in predicting failed spontaneous breathing trials. J Bras Pneumol. 2017; 43(4):253-258.

Gluecker T, Capasso P, Schnyder P, et al. Clinical and radiologic features of pulmonary edema. Radiographics. 1999; 19(6):1507-31.

Pereira-Silva JL, Kavakama J, Terra Filho M, et al. Consenso brasileiro sobre a terminologia dos descritores de tomografia computadorizada do tórax. J Bras Pneumol. 2005; 31(2):149-56.

Ribeiro CMC, Marchiori E, Rodrigues R, et al. Edema pulmonar hidrostático: aspectos na tomografia computadorizada de alta resolução. J. bras. pneumol. 2006; 32(6).