Conteúdo copiado com sucesso!

Embolia Gordurosa

Voltar
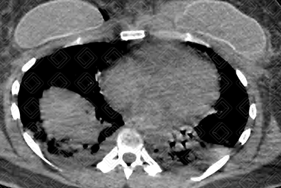
Texto alternativo para a imagem Figura 1. Créditos: Dra. Elazir Mota - Rio de Janeiro/RJ
Texto alternativo para a imagem Figura 2. Créditos: Dra. Elazir Mota - Rio de Janeiro/RJ
Texto alternativo para a imagem Figura 3. Créditos: Dra. Elazir Mota - Rio de Janeiro/RJ

Descrição das figuras 1, 2 e 3: Tomografia computadorizada de tórax. Consolidações periféricas nos lobos inferiores dos pulmões (setas vermelhas).

Embolia gordurosa: É a oclusão de pequenos vasos por gotículas de gordura, afetando principalmente os pulmões. Usualmente é assintomático. Deve-se ter em mente que as manifestações clínicas e radiológicos são, em geral, um pouco tardias, surgindo após 24-48 horas do evento inicial (seja ele fratura ou procedimento cirúrgico).

As principais causas de embolia gordurosa são trauma com fratura de ossos longos (cerca de 95% dos casos). Outros casos menos comuns são as cirurgias ortopédicas (artroplastias, etc.) e cirurgias estéticas, sendo a mais relevante a lipoaspiração.

Quadro clínico: O paciente pode desenvolver síndrome de embolia gordurosa com dispneia progressiva, alteração do nível de consciência e petéquias na pele e retina (achado menos frequente, porém o mais específico para o quadro).

    Exames de imagem:
  • Radiografia de tórax: O pacidades mal definidas com atenuação em vidro fosco progredindo para consolidação bilateral e simétrica;
  • Tomografia computadorizada do tórax: E xame de escolha diante da suspeita clínica. Os achados tomográficos são áreas em vidro fosco e/ou consolidações predominando na periferia do pulmão. Derrame pleural é raro. Esses aspectos de imagem surgem somente após 24-48 horas do quadro (figura 1).

Diagnóstico diferenciais: Os principais diagnósticos diferenciais são com a contusão pulmonar e a embolia pulmonar. Na contusão pulmonar também predominam as consolidações e vidro fosco, no entanto, os achados, em geral, são unilaterais e o aparecimento tomográfico é precoce (surge cerca de 4-6 horas após o evento).

Para acessar conteúdo de critérios diagnósticos para embolia gordurosa, acesse o tema específico.

Autoria principal: Elazir Mota (Radiologia, especialista em Radiologia Pediátrica).

Fabian TC, Hoots AV, Stanford DS, et al. Fat embolism syndrome: prospective evaluation in 92 fracture patients. Crit Care Med. 1990; 18(1):42-6.

Fabian TC. Unraveling the fat embolism syndrome. N Engl J Med. 1993; 329:961-3.

Pinto F, Barreto MM, Parente DB, et al. Embolia pulmonar gordurosa de origem neoplásica. J Bras Pneumol. 2016; 42(6):466-467.

Arakawa H, Kurihara Y, Nakajima Y. Pulmonary fat embolism syndrome: CT findings in six patients. J Comput Assist Tomogr. 2000; 24(1):24-9.

Shaikh N, Parchani A, Bhat V, et al. Fat embolism syndrome: clinical and imaging considerations: case report and review of literature. Indian J Crit Care Med. 2008; 12 (1): 32-6.